症例詳細
Case detail
奥歯がわれている ソケットリフトを併用した奥歯のインプラント 60代男性
治療症例の内容
- 患者様
- 60代男性
- 治療期間
- 1年
- 治療回数
- 5-10回
- 治療計画
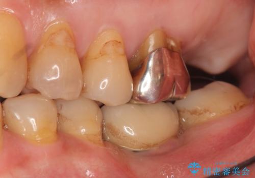
- 奥歯が咬むと痛い、熱いものがしみることを主訴に来院された患者様です。
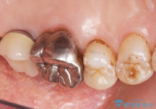
奥歯(左上7)のメタルインレー(銀の詰め物)を除去し精査したところ、奥歯はわれていました。
根尖近くまで深くヒビが入っており保存不可能な状態でした。
患者様のご希望により抜歯してインプラントによる治療を行いました。
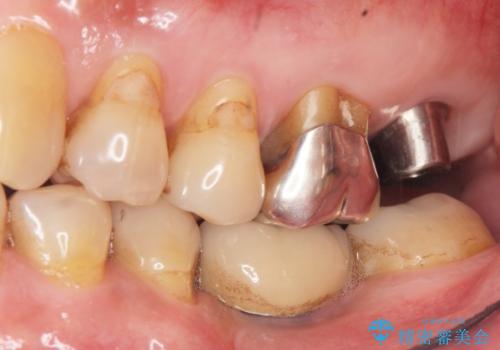
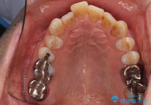
上顎洞が近接しており上顎骨の厚みが薄いことから、ソケットリフト(上顎洞底挙上術)をインプラント埋入と同時に行いました。
- 費用(概算)
- ¥500,000 (インプラント、ソケットリフト、カスタムアバットメント、仮歯、クラウン)費用は治療当時の料金となります
治療について
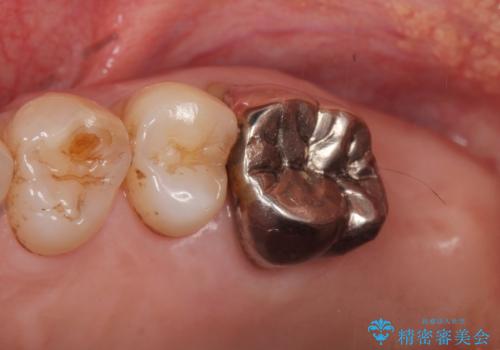
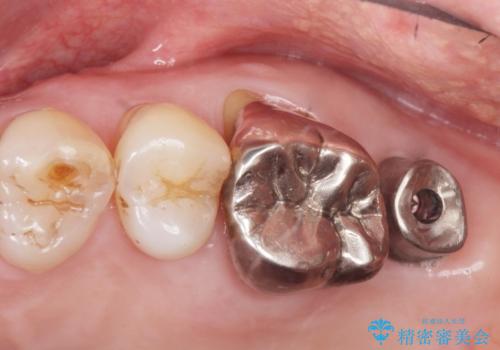
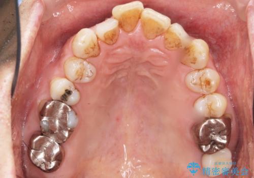
奥歯でしっかりと咬むことができるようになり、ご満足頂けました。
初診時から治療終了時までのレントゲンをお見せして説明差し上げたところ、「お~!骨ができている!」と喜んで下さいました。
ソケットリフトにより上顎洞底を挙上し骨造成することにより、骨の厚みが薄い部分でもインプラントが可能になります。
インプラントの種類:ストローマン BLT
クラウンの種類:メタルボンドクラウン エコノミー
インプラント治療の注意事項(リスク・副作用など)
- 外科手術のため、術後に痛みや腫れ、違和感を伴います
- メンテナンスを怠ったり喫煙により、お口の中に大きな悪影響を及ぼすインプラント周囲炎等にかかる可能性があります
- 糖尿病、肝硬変、心臓病等の場合、インプラント治療ができない可能性があります
- 高血圧、貧血・不整脈等の場合、インプラント治療後に治癒不全を招く可能性があります
- 自費診療(保険適用外治療)となります
セラミック治療の注意事項(リスク・副作用など)
- 天然歯を削ります
- 硬い素材は天然歯を傷つけてしまう場合があります
- かみ合わせや歯ぎしりが強すぎる方はセラミックが割れてしまう可能性があります
- 自費診療(保険適用外治療)となります
当サイトの内容、テキスト、画像等の無断転載、複製、複写、盗用を固く禁じます。


























