症例詳細
Case detail
インビザラインによる矯正治療 前歯を整った歯並びへ
治療症例の内容
- 診療科目
- 担当医
- 患者様
- 20代女性
- 矯正装置
- インビザライン
- 治療期間
- 1年2ヶ月
- 治療回数
- 10-30回
- 治療計画
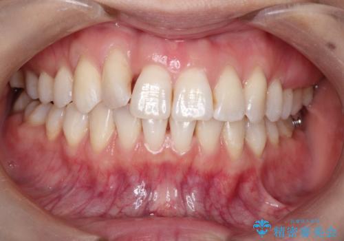
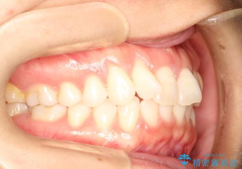
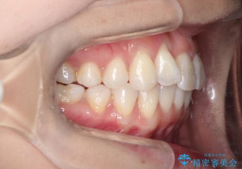
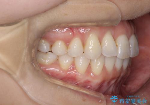
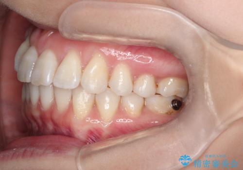
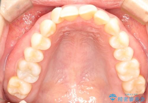
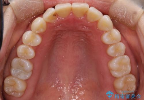
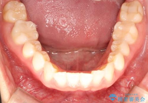
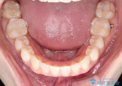
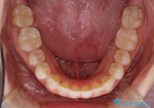
- 上の前歯のねじれを気にされて来院されました。
右上の前から2番目の歯が90度近くねじれて並んでいました。
こちらを当初セラミックでの治療をご希望でしたが、セラミック治療の限界と矯正治療のメリットをご説明をさせていただきました。
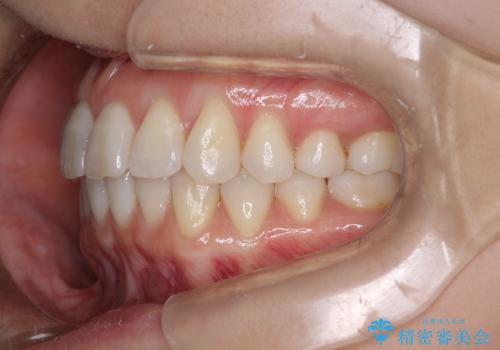
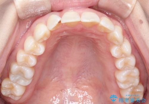
患者様に考えていただき、矯正治療で前歯をきれいにすることとしました。
インビザラインを使用して矯正することとしました。
- 費用(概算)
- 約75万円費用は治療当時の料金となります
治療について
セラミックで歯並びを整えることには限界があります。
また健康な歯を削る必要もあります。
矯正治療は治療期間がかかってしまいますが、不必要に歯を削ることなく、かみ合わせまで考慮して治療が可能です。
マウスピース矯正の注意事項(リスク・副作用など)
- 口腔内・歯並びの状態によっては対応できない場合があります
- マウスピース型矯正装置の長時間装着(1日20時間以上)が必須です
- 治療計画通りに進めるためには、患者様の意志が重要になります
- 矯正治療後の保定が不十分だと後戻り(元の位置に戻ろうとする動き)をします
- 薬機法対象外の矯正歯科装置のため医薬品副作用被害救済制度の対象外となる場合があります
- 自費診療(保険適用外)となります
当サイトの内容、テキスト、画像等の無断転載、複製、複写、盗用を固く禁じます。















