症例詳細
Case detail
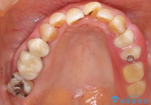
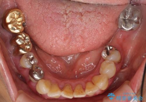
歯ぐきから血が出る、歯ぐきが腫れている 80代女性
- 患者様
 - 80代女性
 
- 治療期間
 - 1年2ヶ月
 
- 治療回数
 - 5-10回
 
- 治療計画
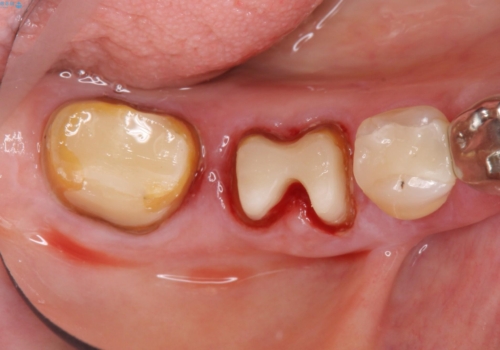
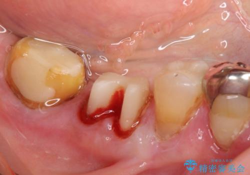
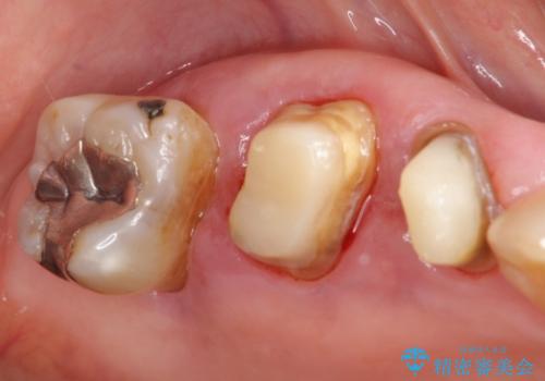
 - 歯ぐきからの出血と腫れを主訴に来院された患者様です。
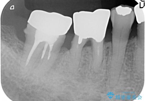
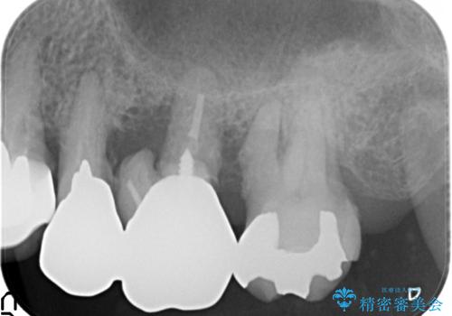
プラークコントロールが非常に悪く、全顎的な歯周病に罹患していました。
「抜歯したくない、インプラントは嫌」という患者様のご希望とご年齢を考慮し、可及的な骨外科処置や根分割術によりできるだけ今ある歯を残す治療方針をたてました。
保存不可能な左上の奥歯2本(左上67)は抜去し、ノンクラスプデンチャーをいれることにしました。
長期的な予後は保証できないことをご了承頂いた上で治療を行いました。
ご希望により、積極的な再根管治療は行いませんでした。
 
- 費用(概算)
 - ¥1,350,000費用は治療当時の料金となります
 
治療について
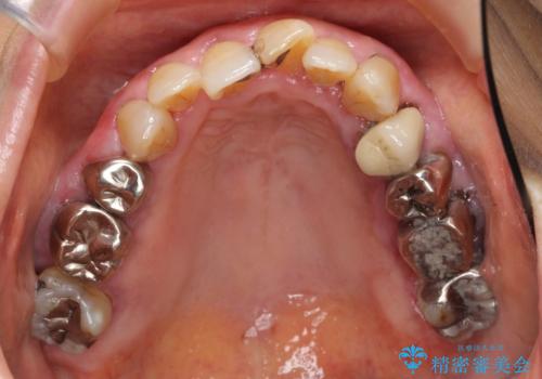
歯ぐきの腫れや出血が改善され、喜んで下さいました。
プラークコントロールを徹底して頂き、できるだけ歯が長持ちするよう今後も定期検診でフォローさせて頂きます。
被せ物の種類:メタルボンドクラウン エコノミー
入れ歯の種類:ノンクラスプデンチャー
歯周病治療の注意事項(リスク・副作用など)
- 外科手術のため、術後に痛みや腫れ、違和感を伴います
 - 歯周組織再生治療は患者様の状態によって術後の経過が異なります(見た目が改善しない場合もあります)
 - 歯周組織再生治療は自費診療(保険適用外)となります
 
セラミック治療の注意事項(リスク・副作用など)
- 天然歯を削ります
 - 硬い素材は天然歯を傷つけてしまう場合があります
 - かみ合わせや歯ぎしりが強すぎる方はセラミックが割れてしまう可能性があります
 - 自費診療(保険適用外治療)となります
 
当サイトの内容、テキスト、画像等の無断転載、複製、複写、盗用を固く禁じます。

                      
                                                          




























