症例詳細
Case detail
前歯がかけた、ぐらぐらする 60代女性
治療症例の内容
- 診療科目
- 治療カテゴリ
- 担当医
- 患者様
- 60代女性
- 治療期間
- 2ヶ月
- 治療回数
- 2-5回
- 治療計画
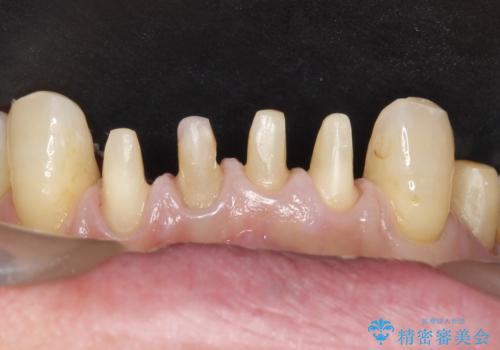
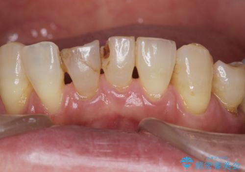
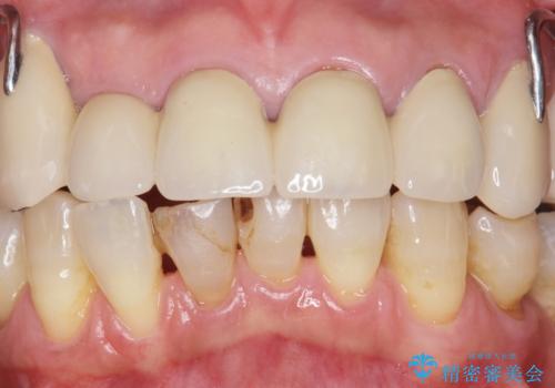
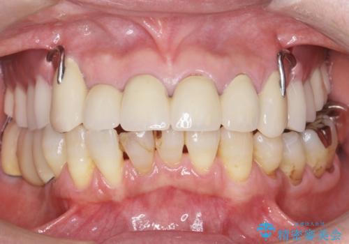
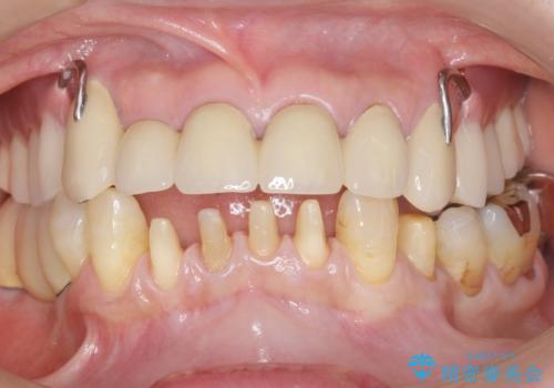
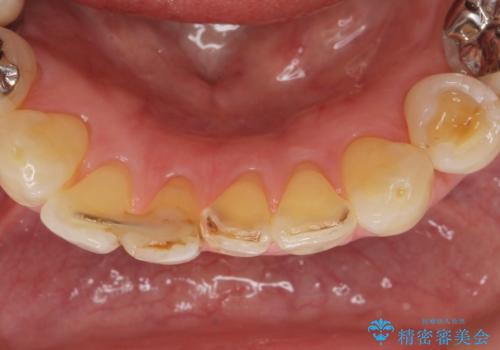
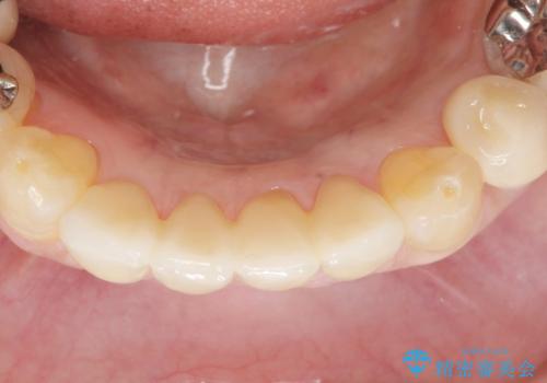
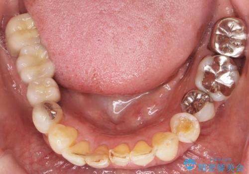
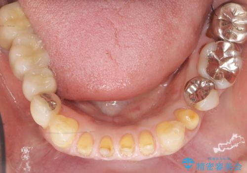
- 下の前歯が欠けてぐらぐらすることを主訴に来院された患者様です。
4年前に行った他の部位の治療にご満足頂け、再来院して下さいました。(こちらの症例です→ https://seimitsushinbi.jp/case/68066/ )
以前行った奥歯の治療により下顎前歯の動揺は改善傾向にあり顕著ではなかったのですが、欠けて黒くなっていることと少しの動揺が気になるとのことでした。
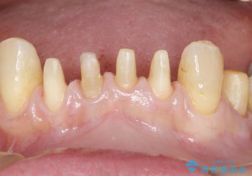
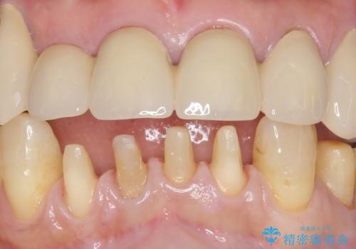
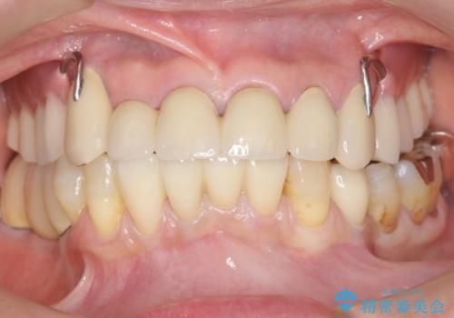
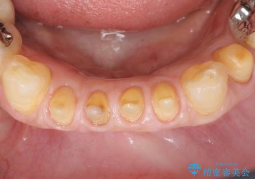
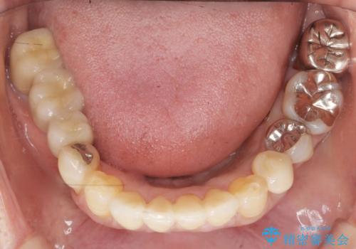
元気なうちに治療しておきたいという患者様の強いご希望により、下顎前歯の連結補綴と欠けている小臼歯の補綴治療を行いました。
- 費用(概算)
- ¥550,000 (仮歯×5本、被せ物×5本)費用は治療当時の料金となります
治療について
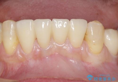
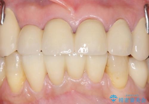
自然な仕上がりに喜んで下さいました。
クラウンを連結することにより気にされていた動揺もなくなり、安心して頂けました。
被せ物の種類:オールセラミッククラウン スタンダード
セラミック治療の注意事項(リスク・副作用など)
- 天然歯を削ります
- 硬い素材は天然歯を傷つけてしまう場合があります
- かみ合わせや歯ぎしりが強すぎる方はセラミックが割れてしまう可能性があります
- 自費診療(保険適用外治療)となります
当サイトの内容、テキスト、画像等の無断転載、複製、複写、盗用を固く禁じます。






















