症例詳細
Case detail
40代女性 根尖孔外感染歯のセラミック修復②
治療症例の内容
- 診療科目
- 治療カテゴリ
- 担当医
- 患者様
- 40代女性
- 治療期間
- 8ヶ月
- 治療回数
- 5-10回
- 治療計画
- 通法通りの根管治療
→経過を見て外科へ移行
Dr.林に依頼し、共同で処置
- 費用(概算)
- 根管治療+手術:約12万円費用は治療当時の料金となります
治療について
セラミックの製作に関しては
→ https://seimitsushinbi.jp/case/6793
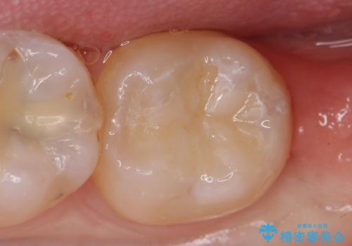
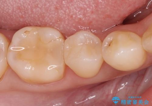
治療開始前の検査にて、レントゲンで大きな病変が確認されました。
通法通り精密根管治療を行いましたが経過は不良でした。
このような場合、次の治療ステップとして外科的歯内療法の適応となります。
当院Dr.林に依頼し、外科的に感染の原因となっている根尖部を切除しました。
幸い、本症例では豊富な角化歯肉が存在したため、製作した被せものに影響しない切開にて外科的なアプローチが可能でした。
根尖孔外感染
精密根管治療が功を奏さない原因はいくつかありますが、感染の元となっている細菌の巣=バイオフィルムが根の外に形成されてしまっているケースがそのひとつとして挙げられます。
切除された根の先端を観察すると、びっしりとバイオフィルムが付着しています。こうなっては、いくら根管の中をきれいにしても病気は治らないというわけです。
セラミック治療の注意事項(リスク・副作用など)
- 天然歯を削ります
- 硬い素材は天然歯を傷つけてしまう場合があります
- かみ合わせや歯ぎしりが強すぎる方はセラミックが割れてしまう可能性があります
- 自費診療(保険適用外治療)となります
根管治療の注意事項(リスク・副作用など)
- 根管治療により類似の全ての症例の問題が解決するわけではなく、症例はあくまでも一例です
- 根管治療により痛みや腫れがひかない事や、術後に痛みや腫れが生じる事、治療によるファイル破折やパーフォレーションなどの偶発症、術後の歯根破折を生じる可能性もあります
- 自費診療(保険適用外)となります
当サイトの内容、テキスト、画像等の無断転載、複製、複写、盗用を固く禁じます。













