症例詳細
Case detail
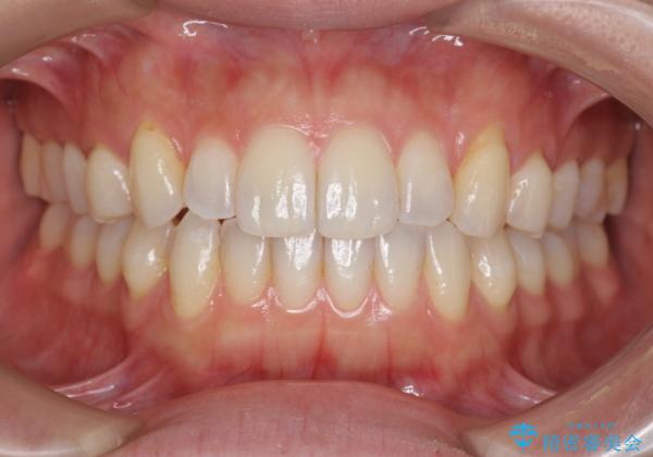
[インビザライン ライト] 14枚のマウスピースで改善する軽度なガタつき
治療症例の内容
- 診療科目
- 治療カテゴリ
- 担当医
- 大元洋佑(ドクタープロフィール)
- 患者様
- 30代女性
- 治療期間
- 4ヶ月
- 治療回数
- 2-5回
- 治療計画
- 結婚を行うにあたりキレイな歯並びで写真を撮りたい、前歯の軽度なガタつきを改善したいと希望され来院されました。
14枚のマウスピースで行う短期の矯正治療インビザライン ライトプランで治療を計画します。
- 費用(概算)
- 45万円(税別)費用は治療当時の料金となります
インビザライン ライトについて
前歯の軽度なガタツキは枚数は限定されますが費用も比較的リーズナブルなインビザライン ライトがおすすめです。
マウスピース矯正の注意事項(リスク・副作用など)
- 口腔内・歯並びの状態によっては対応できない場合があります
- マウスピース型矯正装置の長時間装着(1日20時間以上)が必須です
- 治療計画通りに進めるためには、患者様の意志が重要になります
- 矯正治療後の保定が不十分だと後戻り(元の位置に戻ろうとする動き)をします
- 薬機法対象外の矯正歯科装置のため医薬品副作用被害救済制度の対象外となる場合があります
- 自費診療(保険適用外)となります
当サイトの内容、テキスト、画像等の無断転載、複製、複写、盗用を固く禁じます。

![[インビザライン ライト] 14枚のマウスピースで改善する軽度なガタつきの治療前](https://seimitsushinbi.jp/wp/wp-content/uploads/2021/05/IMG_1782-500x350.jpg?v=1621059720)
![[インビザライン ライト] 14枚のマウスピースで改善する軽度なガタつきの治療後](https://seimitsushinbi.jp/wp/wp-content/uploads/2021/05/IMG_0175-500x350.jpg?v=1621059777)
![[インビザライン ライト] 14枚のマウスピースで改善する軽度なガタつきの治療前](https://seimitsushinbi.jp/wp/wp-content/uploads/2021/05/IMG_1783-500x350.jpg?v=1621059724)
![[インビザライン ライト] 14枚のマウスピースで改善する軽度なガタつきの治療後](https://seimitsushinbi.jp/wp/wp-content/uploads/2021/05/IMG_0176-500x350.jpg?v=1621059781)
![[インビザライン ライト] 14枚のマウスピースで改善する軽度なガタつきの治療前](https://seimitsushinbi.jp/wp/wp-content/uploads/2021/05/IMG_1784-500x350.jpg?v=1621059728)
![[インビザライン ライト] 14枚のマウスピースで改善する軽度なガタつきの治療後](https://seimitsushinbi.jp/wp/wp-content/uploads/2021/05/IMG_0177-500x350.jpg?v=1621059786)
![[インビザライン ライト] 14枚のマウスピースで改善する軽度なガタつきの治療前](https://seimitsushinbi.jp/wp/wp-content/uploads/2021/05/IMG_9986-3-500x350.jpg?v=1621059733)
![[インビザライン ライト] 14枚のマウスピースで改善する軽度なガタつきの治療後](https://seimitsushinbi.jp/wp/wp-content/uploads/2021/05/IMG_0178-500x350.jpg?v=1621059790)
![[インビザライン ライト] 14枚のマウスピースで改善する軽度なガタつきの治療前](https://seimitsushinbi.jp/wp/wp-content/uploads/2021/05/IMG_9987-4-500x350.jpg?v=1621059737)
![[インビザライン ライト] 14枚のマウスピースで改善する軽度なガタつきの治療後](https://seimitsushinbi.jp/wp/wp-content/uploads/2021/05/IMG_0179-500x350.jpg?v=1621059793)