症例詳細
Case detail
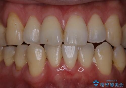
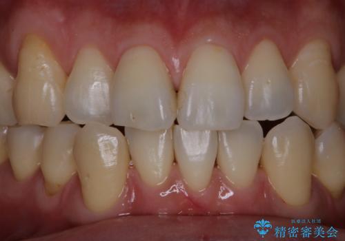
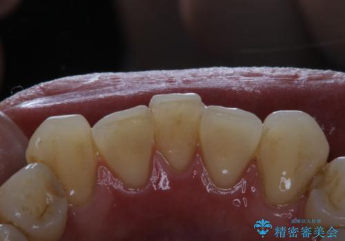
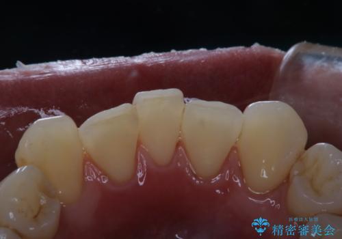
歯医者に久しぶりの来院でPMTC60分コース
治療症例の内容
- 診療科目
- 治療カテゴリ
- 患者様
- 30代男性
- 治療期間
- 1日
- 治療回数
- 1回
- 治療計画
- 歯科医院への来院がかなり久しぶりとのことでした。全体的なクリーニングを希望されました。PMTC60分コースを行いました。
- 費用(概算)
- 1万円+tax費用は治療当時の料金となります
治療について
歯を長持ちさせるために重要なことは、PMTC を定期的に行うことです。
毎日の歯磨きだけは、歯周病などの原因となる歯石やバイオフィルム(細菌の塊)を取り除くことはできません。
お口の状態や、全身の健康状態、喫煙や生活習慣などにより異なりますが、定期的に歯科医院でのプロフェッショナルケアを受けることが効果的です。
痛みや症状が無くても、お口のトラブルの発症・進行を予防するために歯科医院にて専門的なクリーニングを行うことが大切です。
担当
表参道しらゆり歯科 DH西澤
PMTCの注意事項(リスク・副作用など)
- 歯を白くする目的の施術ではありません
- 保険適用外となります
当サイトの内容、テキスト、画像等の無断転載、複製、複写、盗用を固く禁じます。






