症例詳細
Case detail
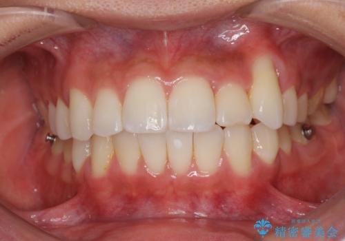
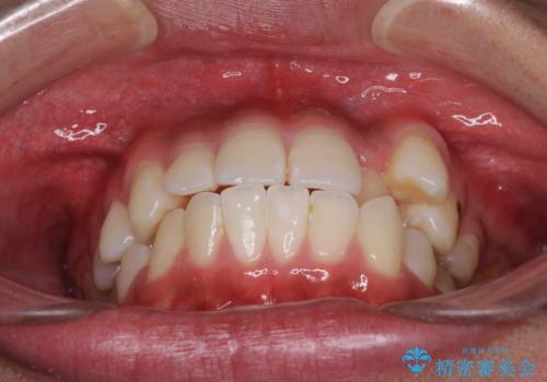
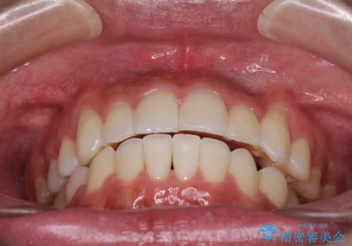
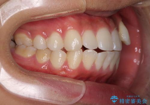
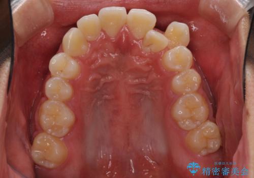
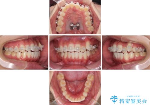
八重歯と奥歯のクロスバイト 上顎骨を拡大してインビザラインで矯正
治療症例の内容
- 診療科目
- 担当医
- 藤巻太一朗(ドクタープロフィール)
- 患者様
- 20代男性
- 矯正装置
- インビザライン
- 治療期間
- 2年10ヶ月
- 治療回数
- 10-30回
- 治療計画
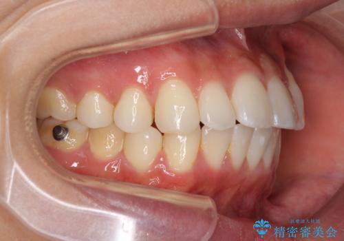
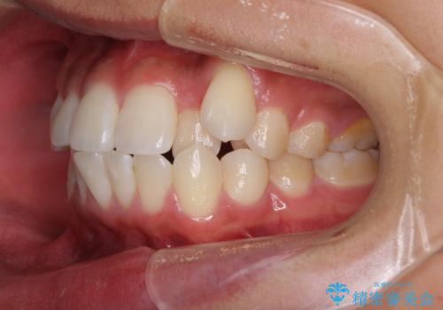
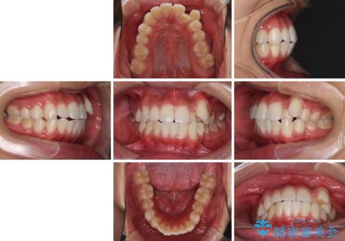
- 八重歯を気にして来院された患者様です。
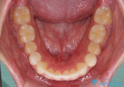
八重歯が著しいため、抜歯矯正も視野に入れて検討しましたが、臼歯の咬合関係は正常に近かったので、非抜歯矯正で進める方針としました。
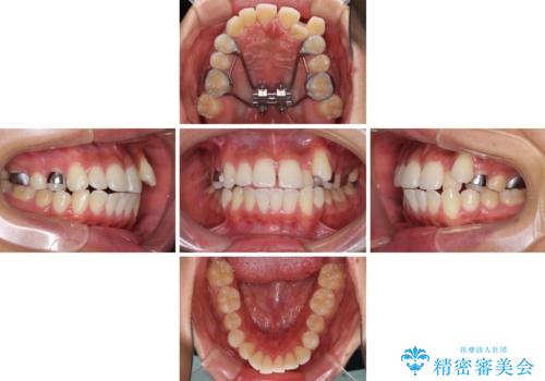
上顎骨の幅が狭く、奥歯がクロスバイトとなっていたため、急速拡大装置を用いて上顎骨を側方拡大し、八重歯を収めるスペースを獲得しつつクロスバイトを改善することとしました。
- 費用(概算)
- 治療費の目安: 90万円費用は治療当時の料金となります
治療について
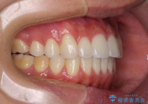
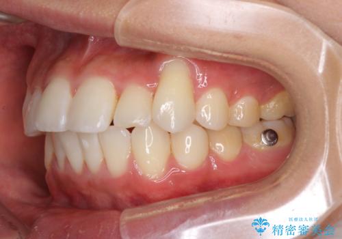
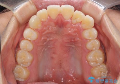
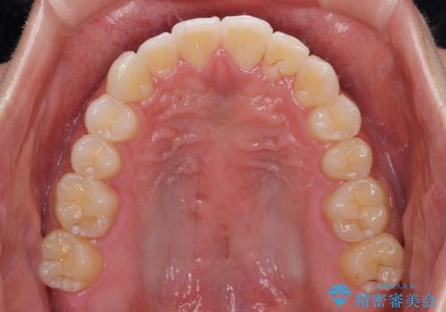
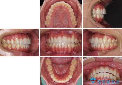
上顎骨を思い通りに拡大できたため、当初の計画通りに非抜歯矯正で仕上げることができました。
マウスピース矯正の注意事項(リスク・副作用など)
- 口腔内・歯並びの状態によっては対応できない場合があります
- マウスピース型矯正装置の長時間装着(1日20時間以上)が必須です
- 治療計画通りに進めるためには、患者様の意志が重要になります
- 矯正治療後の保定が不十分だと後戻り(元の位置に戻ろうとする動き)をします
- 薬機法対象外の矯正歯科装置のため医薬品副作用被害救済制度の対象外となる場合があります
- 自費診療(保険適用外)となります
当サイトの内容、テキスト、画像等の無断転載、複製、複写、盗用を固く禁じます。




























