症例詳細
Case detail
口が閉じにくい インビザラインによる矯正治療
治療症例の内容
- 診療科目
- 治療カテゴリ
- 担当医
- 藤巻太一朗(ドクタープロフィール)
- 患者様
- 30代男性
- 治療期間
- 1年6ヶ月
- 治療回数
- 10-30回
- 治療計画
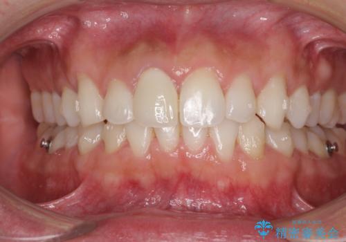
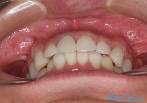
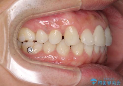
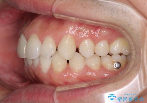
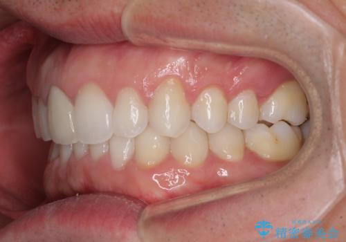
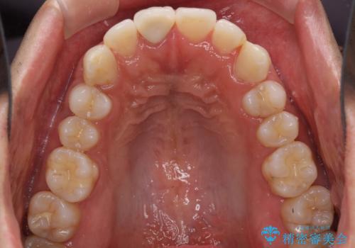
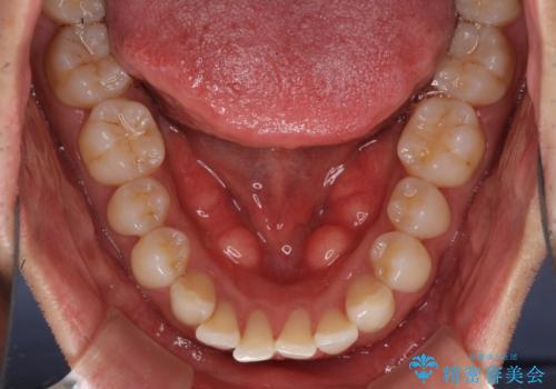
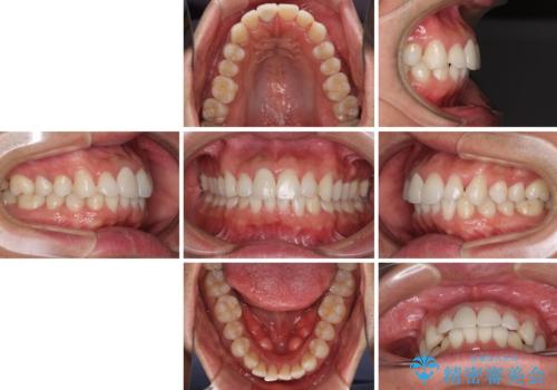
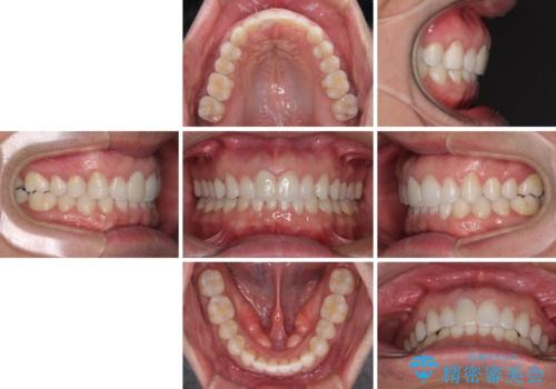
- 口の閉じにくさを気にして来院された患者様です。
患者様と相談の上、横顔の印象から抜歯矯正は必要ないと判断し、IPR(歯と歯の間)並びに歯列全体の後方移動により口元の突出感の改善することとしました。
- 費用(概算)
- 治療費の目安: 75万円費用は治療当時の料金となります
治療について
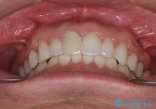
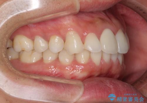
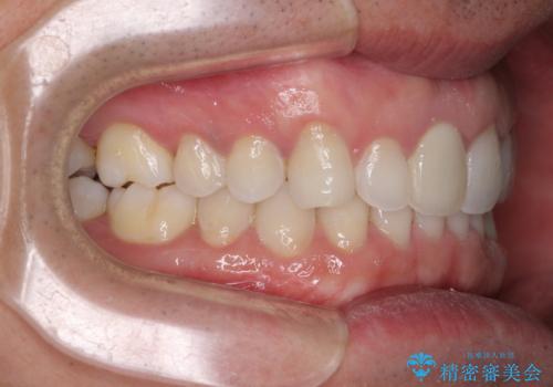
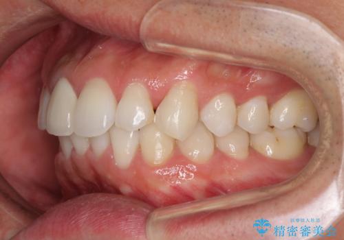
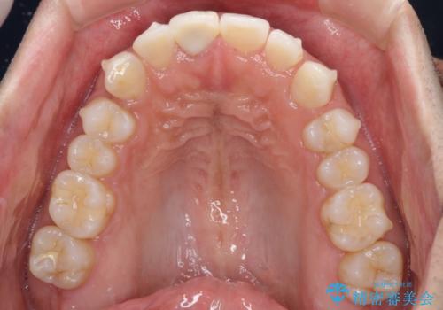
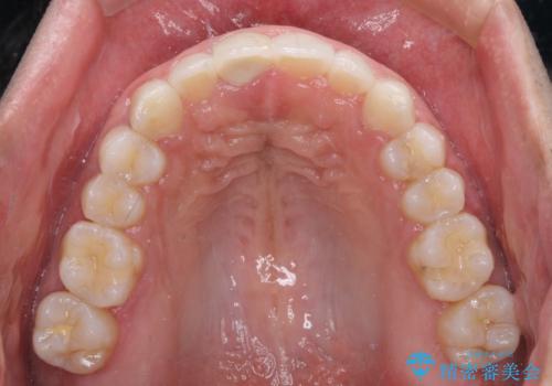
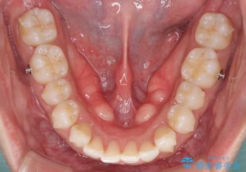
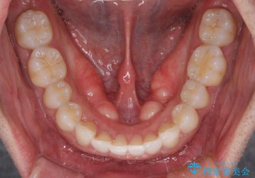
しっかりと装着時間を守り、ゴムかけも徹底していただいたので、思いの外口元を引っ込めることができました。
これ以上の改善を望まれましたが、非抜歯矯正でこれ以上口元を引っ込めると食いしばりすやすい咬合となるため、この歯列で終了としました。
マウスピース矯正の注意事項(リスク・副作用など)
- 口腔内・歯並びの状態によっては対応できない場合があります
- マウスピース型矯正装置の長時間装着(1日20時間以上)が必須です
- 治療計画通りに進めるためには、患者様の意志が重要になります
- 矯正治療後の保定が不十分だと後戻り(元の位置に戻ろうとする動き)をします
- 薬機法対象外の矯正歯科装置のため医薬品副作用被害救済制度の対象外となる場合があります
- 自費診療(保険適用外)となります
当サイトの内容、テキスト、画像等の無断転載、複製、複写、盗用を固く禁じます。


























