症例詳細
Case detail
インビザライン・ライトにより後戻りの再矯正
治療症例の内容
- 診療科目
- 担当医
- 藤巻太一朗(ドクタープロフィール)
- 患者様
- 20代女性
- 矯正装置
- インビザライン・ライト
- 治療期間
- 9ヶ月
- 治療回数
- 2-5回
- 治療計画
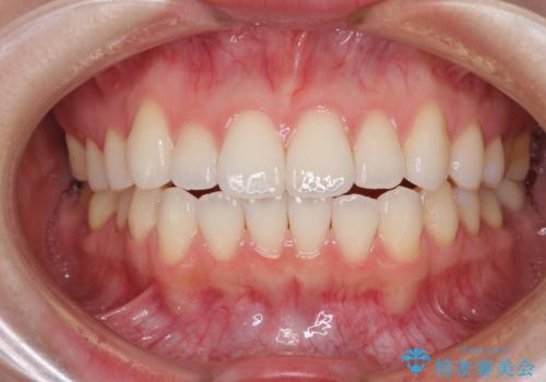
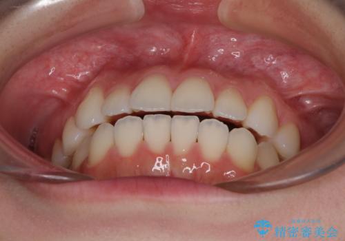
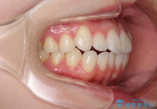
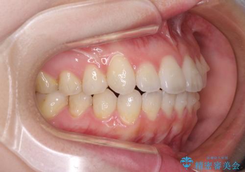
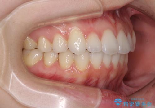
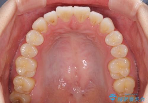
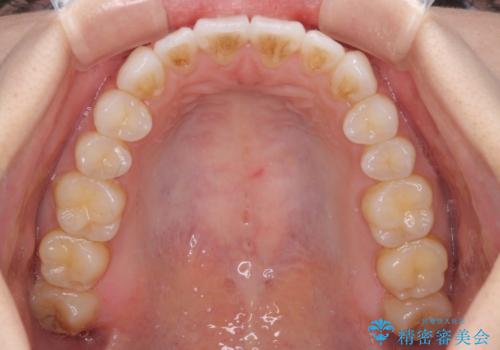
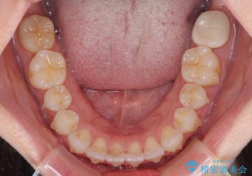
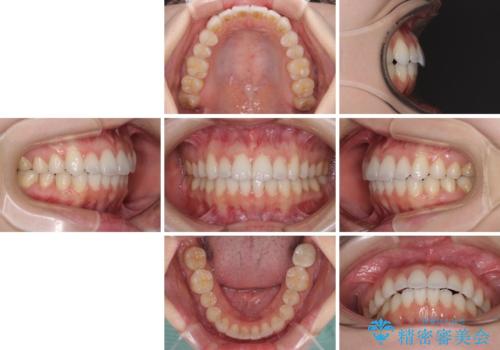
- 矯正治療の後戻りを気にして来院された患者様です。
後戻りは軽微でしたが、舌突出癖が認められ、初診時には上下前歯に舌がはまるスペースができていました。
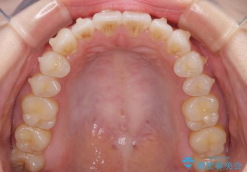
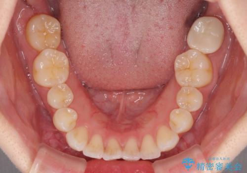
舌突出癖の改善を行いながら、インビザライン・ライトにより矯正治療を行うこととしました。
- 費用(概算)
- 治療費の目安: 45万円費用は治療当時の料金となります
治療について
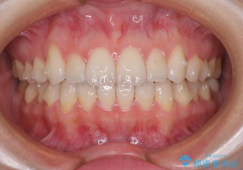
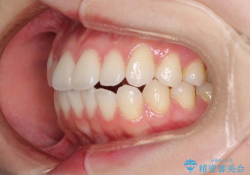
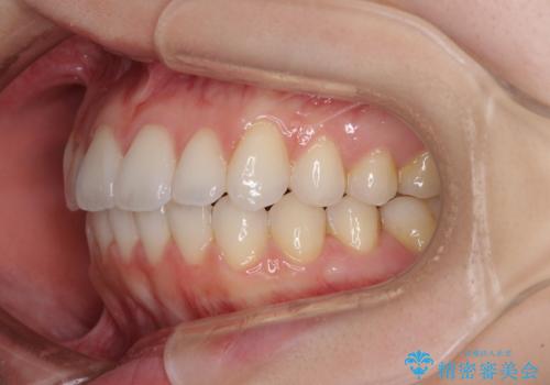
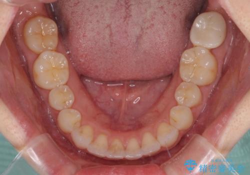
舌突出癖の改善により上下前歯が接触するようになり、前歯でものを咬みきる必要のある食事がスムーズに行えるようになりました。
マウスピース矯正の注意事項(リスク・副作用など)
- 口腔内・歯並びの状態によっては対応できない場合があります
- マウスピース型矯正装置の長時間装着(1日20時間以上)が必須です
- 治療計画通りに進めるためには、患者様の意志が重要になります
- 矯正治療後の保定が不十分だと後戻り(元の位置に戻ろうとする動き)をします
- 薬機法対象外の矯正歯科装置のため医薬品副作用被害救済制度の対象外となる場合があります
- 自費診療(保険適用外)となります
当サイトの内容、テキスト、画像等の無断転載、複製、複写、盗用を固く禁じます。


























