症例詳細
Case detail
穴を開けられ抜歯となった奥歯 セラミックブリッジによる補綴治療
治療症例の内容
- 診療科目
- 治療カテゴリ
- 担当医
- 藤巻太一朗(ドクタープロフィール)
- 患者様
- 40代男性
- 治療期間
- 6ヶ月
- 治療回数
- 2-5回
- 治療計画
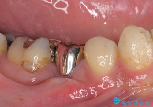
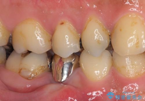
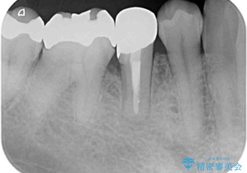
- 近医でむし歯治療をしたものの、術後も痛みが続くとのことで来院された患者様です。
当初は根管治療を再度行うことで痛みが引くことを期待しましたが、該当歯の歯周ポケットが局所的に深くなっていることから、歯に穴が開けられているか破折している可能性が疑われました。
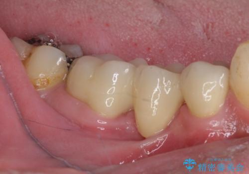
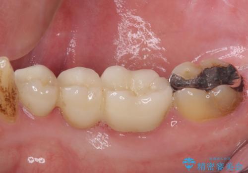
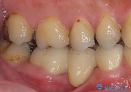
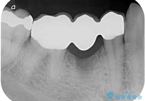
歯肉を開いたところ、周辺の歯槽骨は全て炎症で失われ、破折と同等の穴が開けられていることが分かったため、抜歯を行いフルジルコニアブリッジにて補綴することとしました。
- 費用(概算)
- 治療費の目安: 30万円費用は治療当時の料金となります
治療について
残念ながら抜歯が必要となりましたが、しっかりと診断を行ったことで、患者様も抜歯に納得していただけました。
抜歯後は痛みがあっという間に引き、ブリッジ補綴後は安定して咬めるようになりました。
セラミック治療の注意事項(リスク・副作用など)
- 天然歯を削ります
- 硬い素材は天然歯を傷つけてしまう場合があります
- かみ合わせや歯ぎしりが強すぎる方はセラミックが割れてしまう可能性があります
- 自費診療(保険適用外治療)となります
当サイトの内容、テキスト、画像等の無断転載、複製、複写、盗用を固く禁じます。











