症例詳細
Case detail
出っ歯 前歯のがたがた 口元を引っ込めたい
治療症例の内容
- 診療科目
- 担当医
- 井上季実子(ドクタープロフィール)
- 患者様
- 30代女性
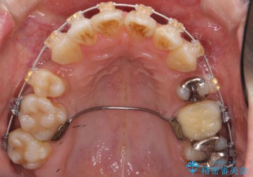
- 矯正装置
- 審美装置
- 治療期間
- 3年4ヶ月
- 治療回数
- 10-30回
- 治療計画
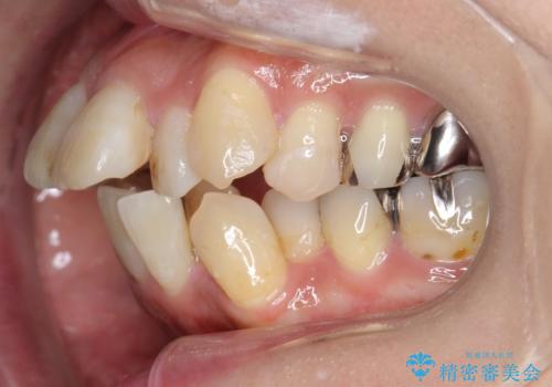
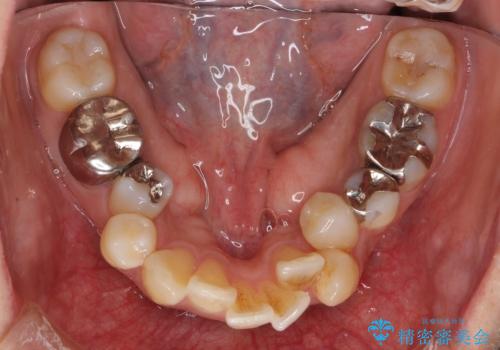
- 前歯のがたがた、出っ歯を主訴に来院。
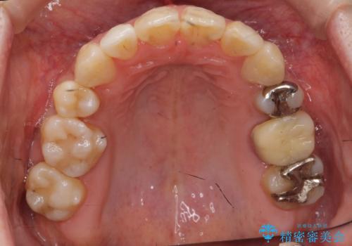
がたつきは中等度で、上の前歯を下げるには歯を抜いてもスペースが不足していた為、上の奥歯を後ろに下げました。
下も混雑が激しく、歯を抜いてもスペースが不足していた為、下の前歯を少し削って小さくして並べています。
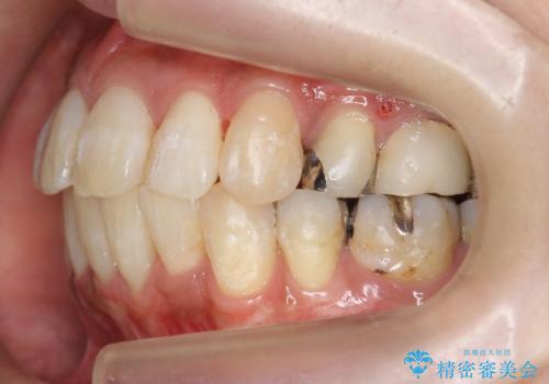
歯の移動量が大きく、また、少し歯も動きにくかったため矯正治療に時間はかかりましたがしっかり並べて前突感も大きく改善しました。
- 費用(概算)
- 100万円費用は治療当時の料金となります
治療について
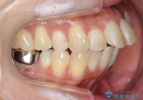
上の前歯が出ていた為、しっかり口を閉じることが難しい状態でしたが、楽に閉じられるようになりました。
側貌(横顔のライン)が治療前には下顎が後退したような状態が、口元を引っ込めたため相対的にしっかり前に出て見えるようになり、大きく改善しています。
ワイヤー矯正の注意事項(リスク・副作用など)
- 治療中は違和感や痛みが起こることがあります
- 症状により、抜歯が必要な場合があります
- 治療中は歯磨きがしにくくなるため、虫歯や歯周病になりやすくなります
- 矯正治療後の保定が不十分だと後戻り(元の位置に戻ろうとする動き)をします
- 自費診療(保険適用外)となります
当サイトの内容、テキスト、画像等の無断転載、複製、複写、盗用を固く禁じます。























