症例詳細
Case detail
前歯の色が気になる、オールセラミッククラウンによる治療
治療症例の内容
- 診療科目
- 担当医
- 吉﨑ゆりな(ドクタープロフィール)
- 患者様
- 50代女性
- 治療期間
- 3ヶ月
- 治療回数
- 2-5回
- 治療計画
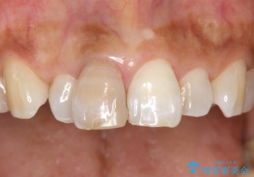
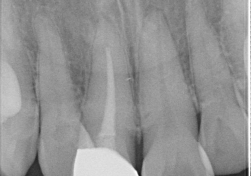
- 右上の前歯が左隣の歯に比べて色が暗いのが気になるとのことで来院されました。
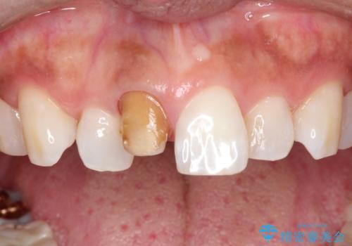
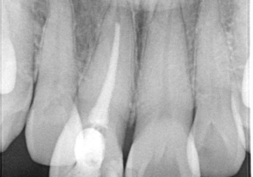
右上1は根管治療がされており、神経がないため歯自体も変色していること、詰め物の色も変色していることをふまえ、オールセラミッククラウン(スペシャル)による治療を行うことになりました。
根尖に病変はないこと、患者さんが根管治療は希望されなかったため、土台のやりかえからかぶせものまでを行っております。
- 費用(概算)
- ¥176,000費用は治療当時の料金となります
治療について
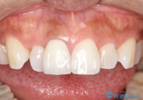
仮歯の期間にホワイトニングも行っていただいてから、色合わせをして最終的なかぶせものを入れています。
セラミック治療の注意事項(リスク・副作用など)
- 天然歯を削ります
- 硬い素材は天然歯を傷つけてしまう場合があります
- かみ合わせや歯ぎしりが強すぎる方はセラミックが割れてしまう可能性があります
- 自費診療(保険適用外治療)となります
当サイトの内容、テキスト、画像等の無断転載、複製、複写、盗用を固く禁じます。





