症例詳細
Case detail
歯周病 ブリッジ補綴
治療症例の内容
- 診療科目
- 治療カテゴリ
- 担当医
- 大元洋佑(ドクタープロフィール)
- 患者様
- 50代女性
- 治療期間
- 10ヶ月
- 治療回数
- 5-10回
- 治療計画
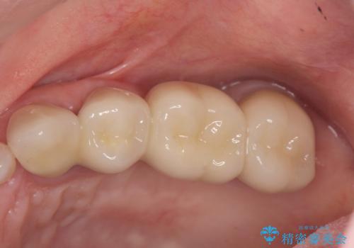
- 歯のぐらつきが大きくなり治療を求めて来院されました。
X線写真より、保存不可能な重度の歯周病であることが判明したため抜歯を行いブリッジによる補綴を行います。
- 費用(概算)
- 44万円(仮歯・ジルコニアクラウン×4)費用は治療当時の料金となります
重度歯周病治療について
大きく歯の周囲の骨が吸収した重度歯周病の歯は、抜歯が適応となることが多いです。
そのまま放置すると周囲の歯も同様に抜かなくてはいけなくなるリスクが高まります。
今回は抜歯後周囲の歯に問題がなかったためブリッジによる機能回復を行いました。
セラミック治療の注意事項(リスク・副作用など)
- 天然歯を削ります
- 硬い素材は天然歯を傷つけてしまう場合があります
- かみ合わせや歯ぎしりが強すぎる方はセラミックが割れてしまう可能性があります
- 自費診療(保険適用外治療)となります
当サイトの内容、テキスト、画像等の無断転載、複製、複写、盗用を固く禁じます。








