症例詳細
Case detail
美容外科による不自然なかぶせもので、前歯がコンプレックスに。自然なセラミックにやりかえ 30代女性
治療症例の内容
- 診療科目
- 治療カテゴリ
- 担当医
- 患者様
- 30代女性
- 治療期間
- 2ヶ月
- 治療回数
- 2-5回
- 治療計画
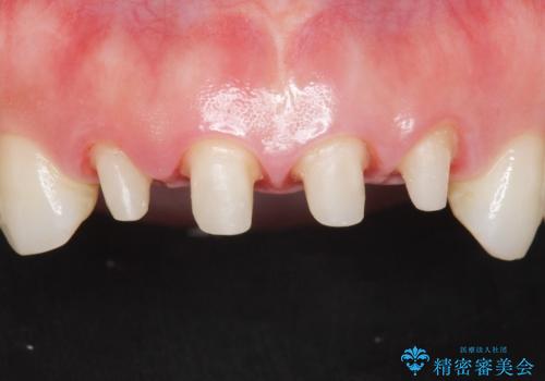
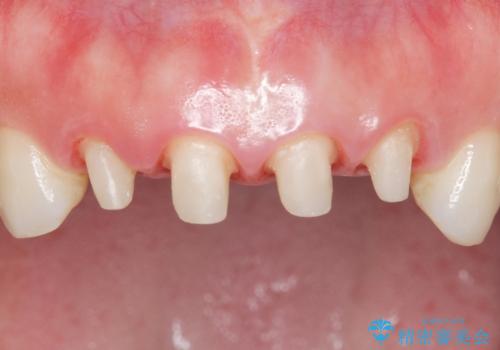
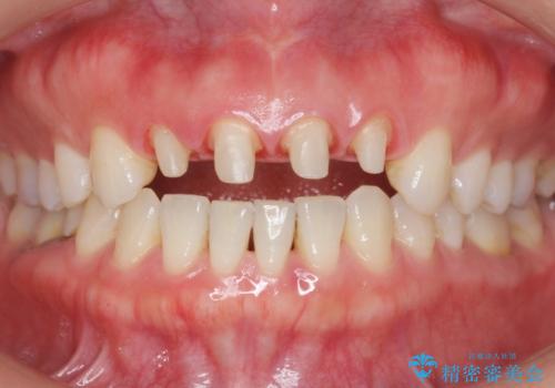
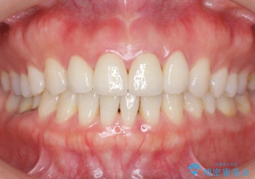
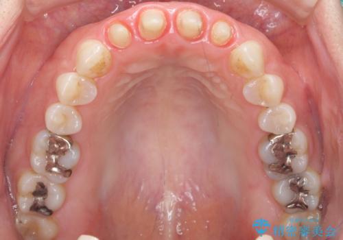
- 10年前に美容外科クリニックで前歯を治療したところ、あまりに不自然で逆にコンプレックスになってしまったことを主訴に来院された患者様です。
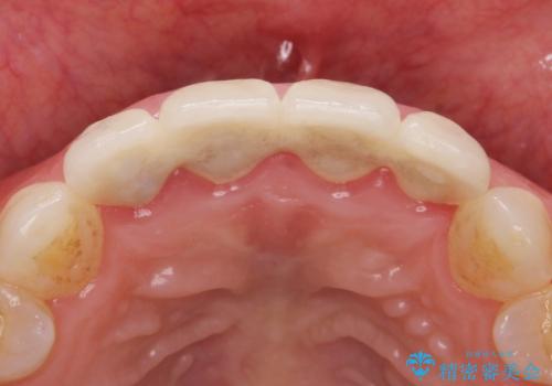
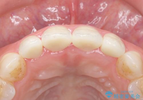
前歯4本の被せものは連結されており、不自然なだけではなく清掃性も悪く歯茎が著しく腫脹していました。
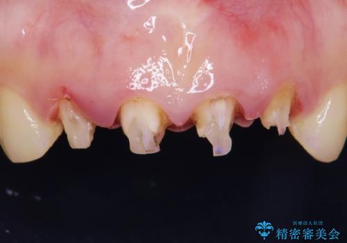
レントゲンを撮影したところ土台の植立も不十分であったため、土台からやりかえることにしました。
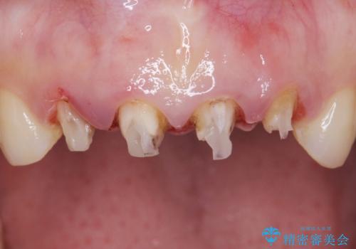
歯茎の腫脹が顕著であったため、適合の良いオーダーメイドの仮歯に変え、歯茎の状態が良くなるまで1ヶ月待ったのち型取りを行いました。
- 費用(概算)
- ¥840,000 (仮歯×4本、土台×4本、クラウン×4本)費用は治療当時の料金となります
治療について
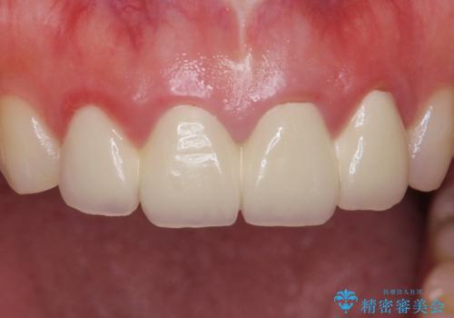
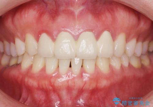
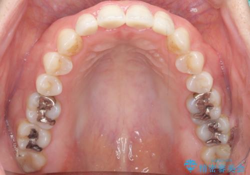
自然な仕上がりに大変喜んで頂けました。
単冠かつ適合の良いクラウンにより清掃性が良くなり、歯茎の腫れ・出血もなくなりました。
天然歯と見紛うほど自然なセラミッククラウンは、熟練した技工士さんの技術の賜物です。
クラウンの種類:ジルコニアオールセラミッククラウン エクセレント
セラミック治療の注意事項(リスク・副作用など)
- 天然歯を削ります
- 硬い素材は天然歯を傷つけてしまう場合があります
- かみ合わせや歯ぎしりが強すぎる方はセラミックが割れてしまう可能性があります
- 自費診療(保険適用外治療)となります
当サイトの内容、テキスト、画像等の無断転載、複製、複写、盗用を固く禁じます。























