症例詳細
Case detail
奥歯 抜歯してブリッジに 50代女性
治療症例の内容
- 診療科目
- 担当医
- 患者様
- 50代女性
- 治療期間
- 4ヶ月
- 治療回数
- 2-5回
- 治療計画
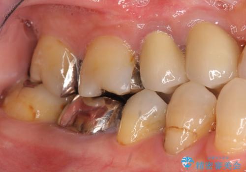
- 奥歯の違和感を主訴に来院された患者様です。
右下の銀歯(右下6)を除去したところ、虫歯が深く保存不可能な状態でした。
ブリッジ、インプラント、入れ歯の3つの選択肢を提案したところ、ブリッジをご希望されました。
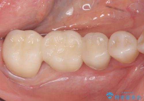
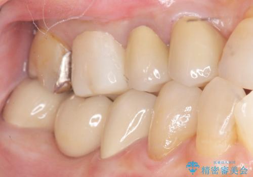
抜歯後十分に歯肉の治癒を待ったのち、ブリッジによる補綴治療を行いました。
- 費用(概算)
- ¥300,000 (仮歯×3本、メタルボンドクラウン×3本)費用は治療当時の料金となります
治療について
痛みが出るのが怖い・外科手術は避けたいとのご希望でブリッジをご希望されました。
ブリッジの自然な見た目と咬み心地にご満足頂けました。
メタルボンドクラウン(外側はセラミック、内側はメタル)では舌側の歯頚部がメタルの場合が多いのですが、すべてセラミックで覆うフルベイク仕上げでオーダーし、審美性を追求しました。
クラウンの種類:メタルボンドクラウン エコノミー フルベイク
セラミック治療の注意事項(リスク・副作用など)
- 天然歯を削ります
- 硬い素材は天然歯を傷つけてしまう場合があります
- かみ合わせや歯ぎしりが強すぎる方はセラミックが割れてしまう可能性があります
- 自費診療(保険適用外治療)となります
当サイトの内容、テキスト、画像等の無断転載、複製、複写、盗用を固く禁じます。













