症例詳細
Case detail
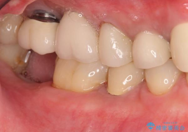
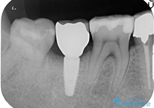
右下の奥歯を抜歯 インプラント治療による咬合回復
治療症例の内容
- 担当医
- 患者様
- 40代女性
- 矯正装置
- インプラント
- 治療期間
- 7ヶ月
- 治療回数
- 5-10回
- 治療計画
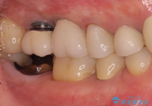
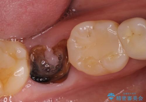
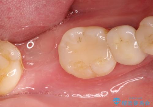
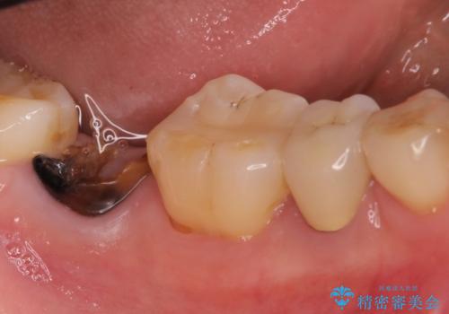
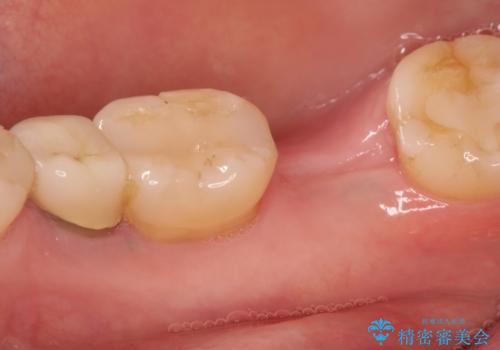
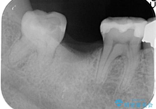
- 右下の奥歯をかぶせ物がとれたまま放置しているところに歯を入れたいとのことで来院されました。
精査すると保存が難しいため抜歯をして、インプラントを埋入、かぶせ物を装着する計画としました。
- 費用(概算)
- 約40万円費用は治療当時の料金となります
治療について
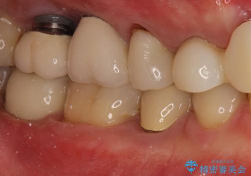
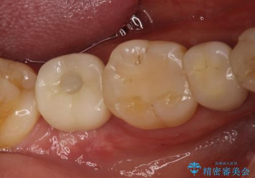
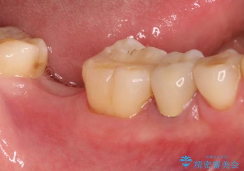
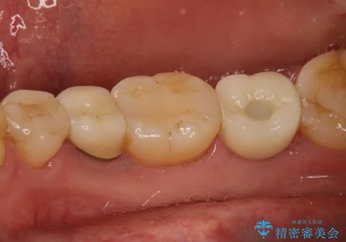
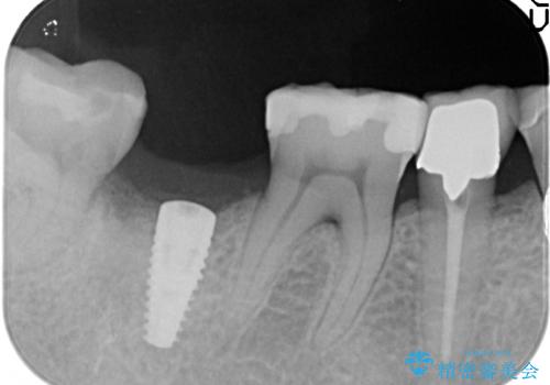
インプラント治療により、周りの歯を削ることなく咬合を回復することができました。
インプラント治療の注意事項(リスク・副作用など)
- 外科手術のため、術後に痛みや腫れ、違和感を伴います
- メンテナンスを怠ったり喫煙により、お口の中に大きな悪影響を及ぼすインプラント周囲炎等にかかる可能性があります
- 糖尿病、肝硬変、心臓病等の場合、インプラント治療ができない可能性があります
- 高血圧、貧血・不整脈等の場合、インプラント治療後に治癒不全を招く可能性があります
- 自費診療(保険適用外治療)となります
当サイトの内容、テキスト、画像等の無断転載、複製、複写、盗用を固く禁じます。














