症例詳細
Case detail
上下の八重歯を治したい 補助装置を用いたインビザライン矯正
治療症例の内容
- 診療科目
- 治療カテゴリ
- 担当医
- 藤巻太一朗(ドクタープロフィール)
- 患者様
- 20代女性
- 矯正装置
- インビザライン
- 治療期間
- 3年1ヶ月
- 治療回数
- 10-30回
- 治療計画
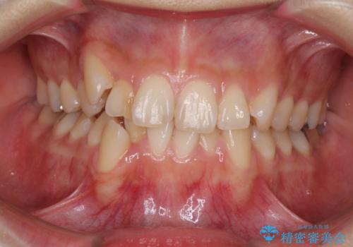
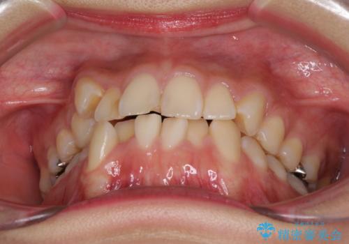
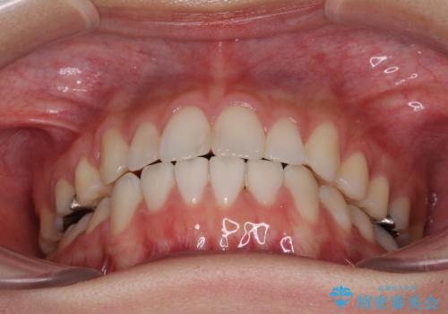
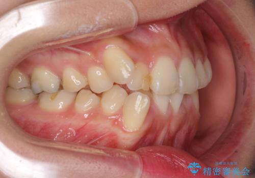
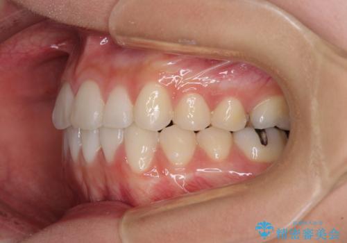
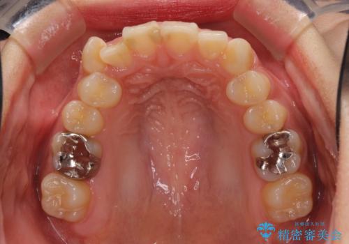
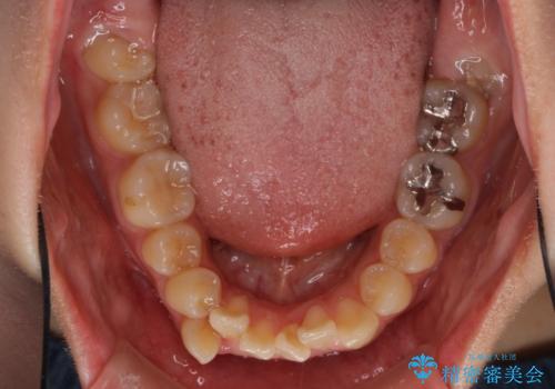
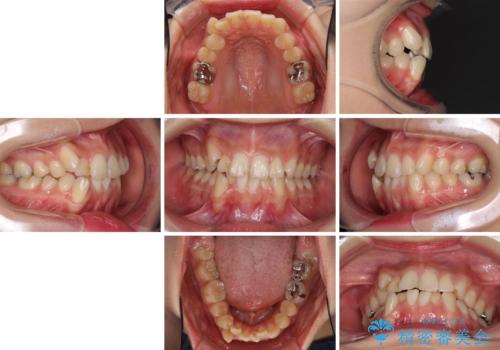
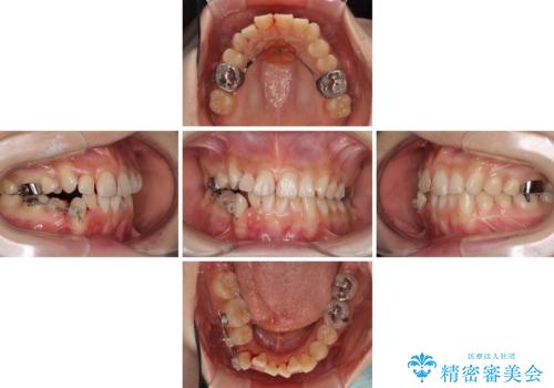
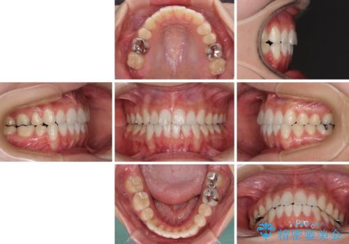
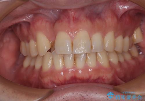
- 上下の八重歯を気にして来院された患者様です。
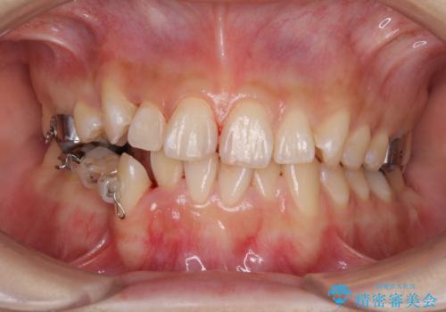
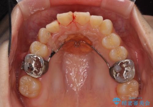
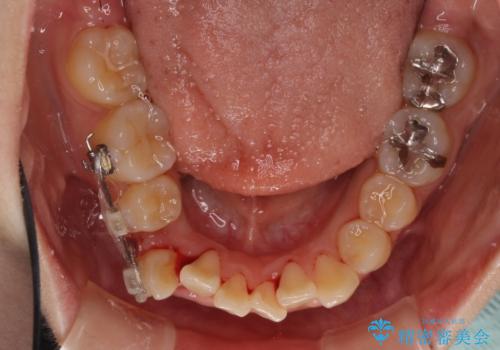
上下ともに八重歯の後ろの歯を1歯ずつ抜歯し、補助装置(リンガルアーチ)を用いて八重歯の位置を改善し、その後インビザラインにより矯正治療を行うこととしました。
- 費用(概算)
- 治療費の目安: 90万円費用は治療当時の料金となります
治療について
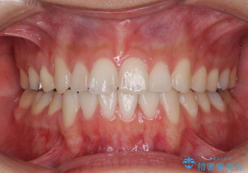
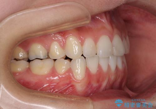
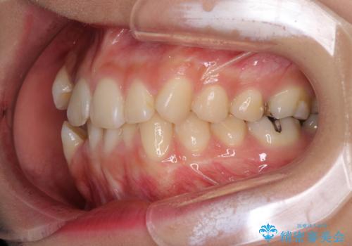
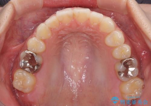
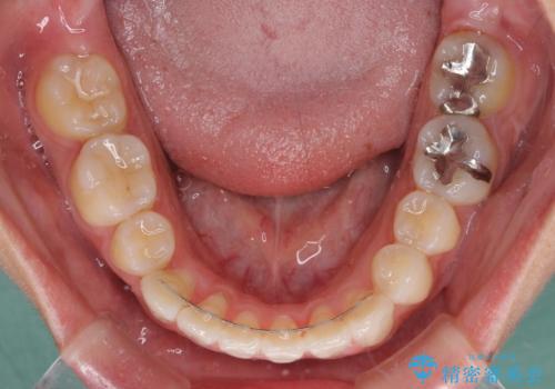
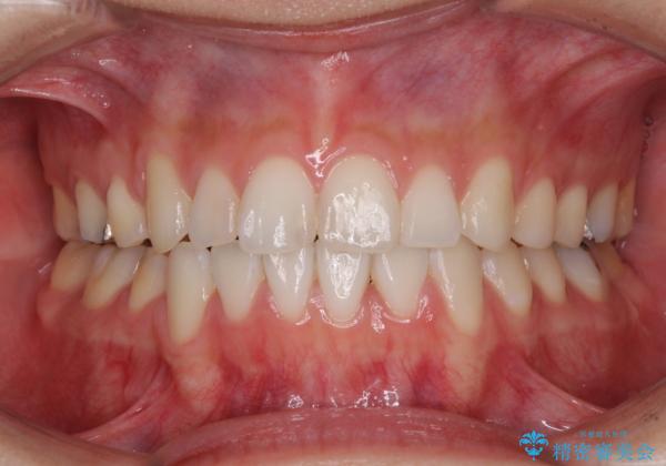
途中海外留学をされたため、治療期間は長くなりましたが、事前に補助装置やワイヤー装置を併用したことで、きれいな歯列に仕上げることができました。
マウスピース矯正の注意事項(リスク・副作用など)
- 口腔内・歯並びの状態によっては対応できない場合があります
- マウスピース型矯正装置の長時間装着(1日20時間以上)が必須です
- 治療計画通りに進めるためには、患者様の意志が重要になります
- 矯正治療後の保定が不十分だと後戻り(元の位置に戻ろうとする動き)をします
- 薬機法対象外の矯正歯科装置のため医薬品副作用被害救済制度の対象外となる場合があります
- 自費診療(保険適用外)となります
当サイトの内容、テキスト、画像等の無断転載、複製、複写、盗用を固く禁じます。


























