症例詳細
Case detail
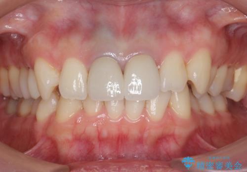
神経をとった前歯が変色してきた
治療症例の内容
- 診療科目
- 治療カテゴリ
- 担当医
- 井上季実子(ドクタープロフィール)
- 患者様
- 30代女性
- 治療期間
- 2ヶ月
- 治療回数
- 2-5回
- 治療計画
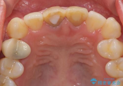
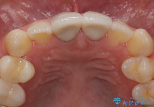
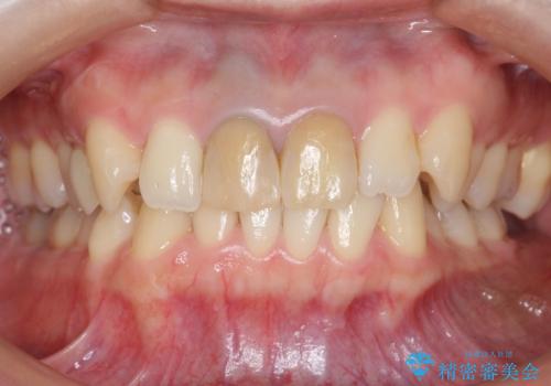
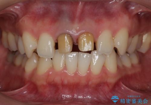
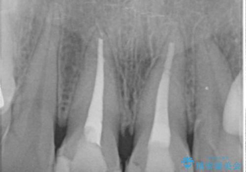
- 昔に神経をとった前歯の変色が気になるとのことでした。
神経の方は問題なさそうだったため、患者様の希望でやりなおさず、土台とセラミック治療を行いました。
- 費用(概算)
- 32万円(税別) 上顎両側1 ファイバーコア、仮歯、ジルコニアクラウン(スペシャル)費用は治療当時の料金となります
治療について
歯茎の黒ずみに関しては、中の歯の根が変色して透けている状態のため、変えることは難しいです。
笑っても歯肉が見えにくい方でしたので、問題ありませんでした。
セラミック治療の注意事項(リスク・副作用など)
- 天然歯を削ります
- 硬い素材は天然歯を傷つけてしまう場合があります
- かみ合わせや歯ぎしりが強すぎる方はセラミックが割れてしまう可能性があります
- 自費診療(保険適用外治療)となります
当サイトの内容、テキスト、画像等の無断転載、複製、複写、盗用を固く禁じます。











