症例詳細
Case detail
他院の根の治療で一向に治らない、さらに歯根を切ってもらったが良くならない
治療症例の内容
- 担当医
- 井上季実子(ドクタープロフィール)
- 患者様
- 30代女性
- 治療期間
- 2ヶ月
- 治療回数
- 2-5回
- 治療計画
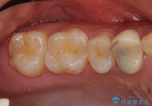
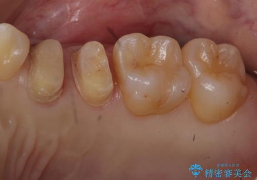
- 他院で保険治療で根の治療に1年以上通っているが一向によくならないとのことでした。
根の詰め物をした後も歯ぐきからウミが出てくる上に、咬むと痛いとのことでした。
さらに、同じ病院で根の先を切る手術も行なったが症状が改善しなかったそうです。
ラバーダム治療ではなかったとのことで、唾液の侵入を防ぐ、当院でのラバーダム治療のメリットを説明しました。
前回の治療がうまくいかなかった原因として、根の中がまだ汚い状態で、根の先だけを切ってもうまくいかない可能性があったことを説明し、根管治療をやり直すことになりました。
- 費用(概算)
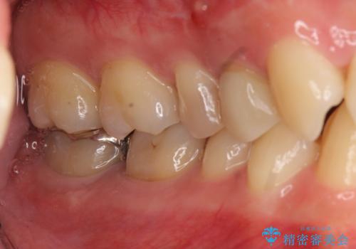
- 約27万円(税別) 右上45 emaxクラウン、仮歯 右上4 精密根管治療、ファイバーコア費用は治療当時の料金となります
治療について
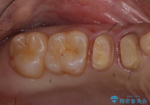
必ずしも根管治療がうまく行くかわからないため、抜歯してインプラント(またはブリッジ)にする選択肢もありましたが、なるべく抜歯を避けたいとのことで、根管治療を選択されました。
なお、根管充填にはMTAを使用しました。
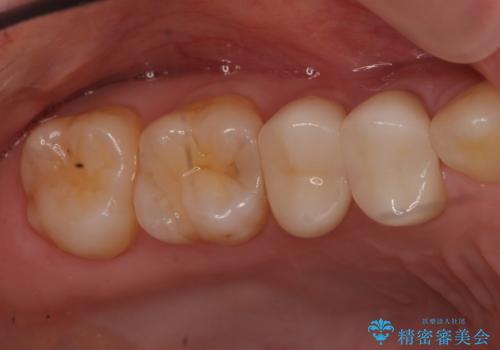
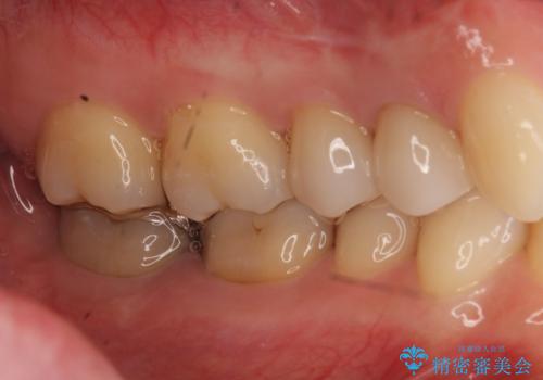
術後は瘻孔、圧痛、打診痛も消失し、根尖病変の縮小もみられました。経過良好です。
セラミック治療の注意事項(リスク・副作用など)
- 天然歯を削ります
- 硬い素材は天然歯を傷つけてしまう場合があります
- かみ合わせや歯ぎしりが強すぎる方はセラミックが割れてしまう可能性があります
- 自費診療(保険適用外治療)となります
根管治療の注意事項(リスク・副作用など)
- 根管治療により類似の全ての症例の問題が解決するわけではなく、症例はあくまでも一例です
- 根管治療により痛みや腫れがひかない事や、術後に痛みや腫れが生じる事、治療によるファイル破折やパーフォレーションなどの偶発症、術後の歯根破折を生じる可能性もあります
- 自費診療(保険適用外)となります
当サイトの内容、テキスト、画像等の無断転載、複製、複写、盗用を固く禁じます。










