症例詳細
Case detail
歯の高さがなく、しょっちゅう外れる 他院で治療途中だが病院を変えたい
治療症例の内容
- 担当医
- 井上季実子(ドクタープロフィール)
- 患者様
- 20代女性
- 治療期間
- 6ヶ月
- 治療回数
- 5-10回
- 治療計画
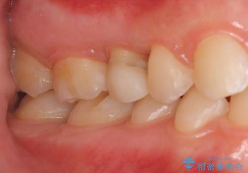
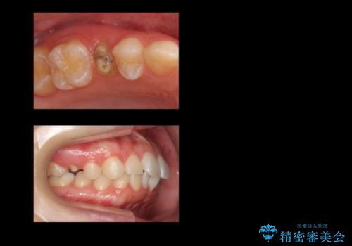
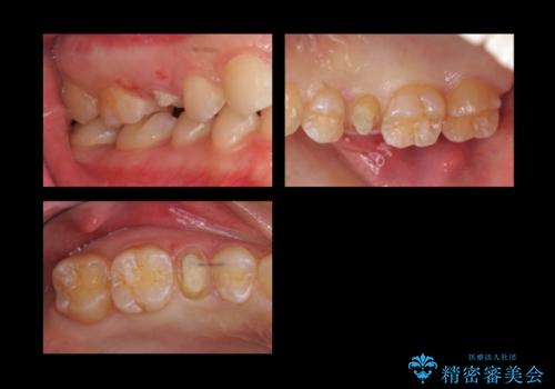
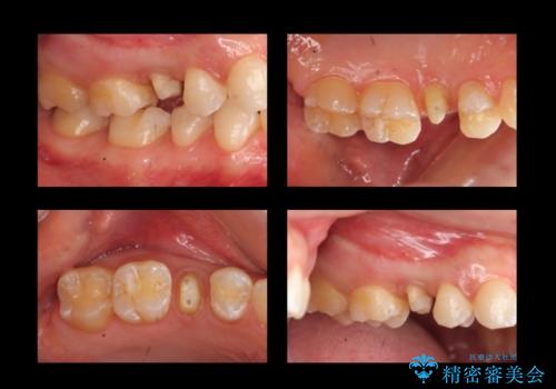
- 他院で治療途中、歯を被せたら頻繁に外れてしまうとのことでした。
診察すると、歯の高さがなく物理的に外れやすい状態となっていました。
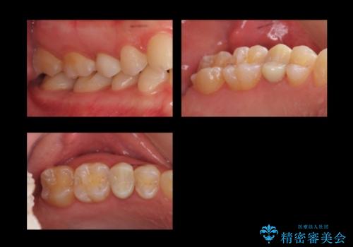
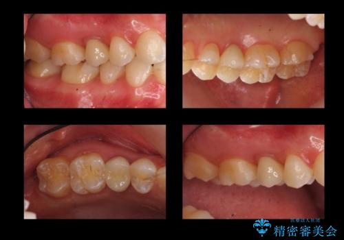
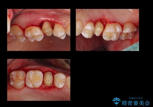
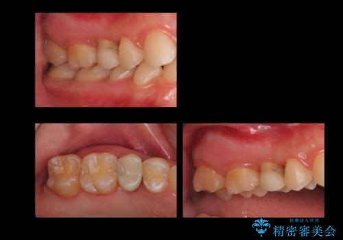
歯周外科治療で歯の高さを出し、外れにくくしました。
高さがなく外れやすいことに関しては、高さを出す以外にないのですが、向かい合わせの歯があるため、被せ物の高さを高くするわけにいきません。
また、骨の高さを変えずに歯肉の奥深くまで削ると、歯肉の炎症になってしまいます。慢性的な炎症となり、すぐ出血するような状態が治らなくなってしまいます。
そうなると正確な歯型が取れなくなり、被せ物と歯の間に隙間が生じ、虫歯のリスクが飛躍的に高まります。歯肉の奥深くに隙間があるような状態は歯ブラシができないので悪化の一途をたどってしまいます。
被せ物がすぐ外れて困っている方、ご相談ください。
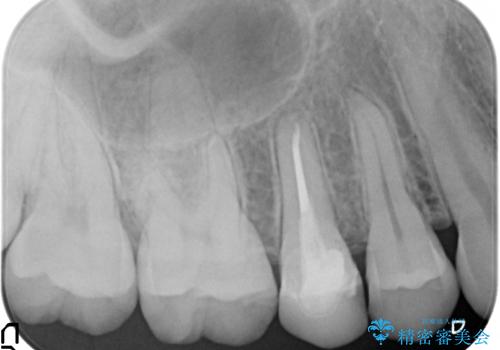
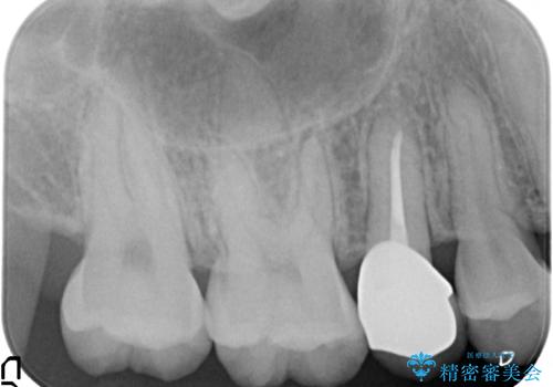
奥歯の神経の治療および、土台は他院で行なっています。
セラミックにする前後でマウスピース矯正治療を行なっています。(以下のリンク参照)
https://seimitsushinbi.jp/case/64533/
- 費用(概算)
- 21万円(右上4:ジルコニアクラウン10万円、仮歯 1万円、歯周外科治療(APF) 10万円、矯正用仮歯 2万円費用は治療当時の料金となります
治療について
角化歯肉の幅がしっかり合ったため、歯肉をずらすAPF(アピカリ)でなく、切除療法を行いました。
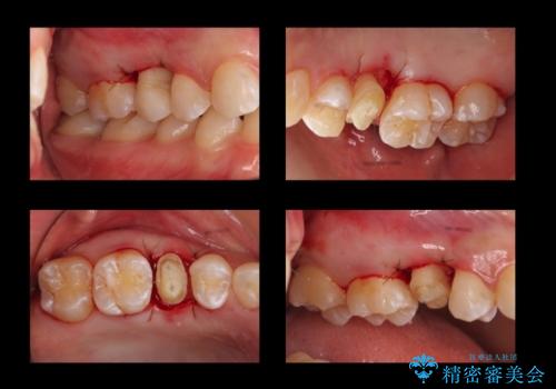
骨外科の量は多かったですが、術直後見られた動揺も治っています。
術後の痛みへの対処は、鎮痛薬を服用していただきます。
外科処置の注意事項(リスク・副作用など)
- 外科手術のため、術後に出血、痛みや腫れ、違和感を伴います
- 口腔内の状態によっては適応できないことがあります
セラミック治療の注意事項(リスク・副作用など)
- 天然歯を削ります
- 硬い素材は天然歯を傷つけてしまう場合があります
- かみ合わせや歯ぎしりが強すぎる方はセラミックが割れてしまう可能性があります
- 自費診療(保険適用外治療)となります
当サイトの内容、テキスト、画像等の無断転載、複製、複写、盗用を固く禁じます。















