症例詳細
Case detail
虫歯がしみる セラミックインレーによる修復治療
治療症例の内容
- 診療科目
- 治療カテゴリ
- 担当医
- 藤巻太一朗(ドクタープロフィール)
- 患者様
- 20代女性
- 治療期間
- 1ヶ月
- 治療回数
- 2-5回
- 治療計画
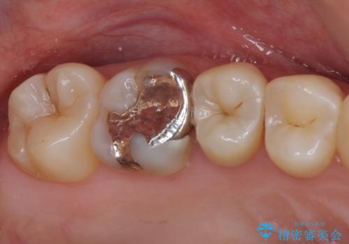
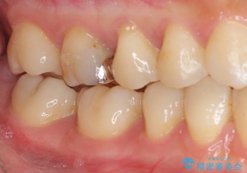
- 冷たいものがしみるとのことで来院された患者様です。
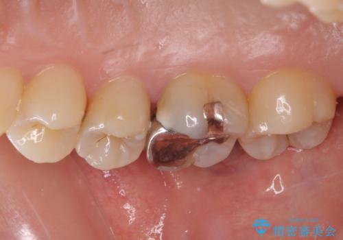
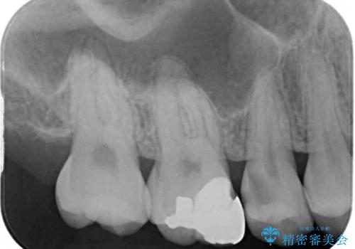
レントゲン写真より、第一小臼歯にやや大きい虫歯があることが分かりました。
症状などから診断したところ、神経を取る可能性は低いと考えられたため、セラミックインレーによる修復治療を行うこととしました。
- 費用(概算)
- 治療費の目安: 7万円費用は治療当時の料金となります
治療について
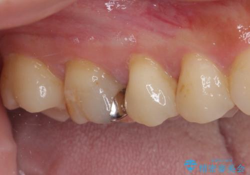
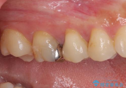
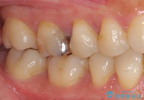
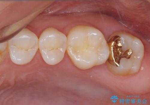
処置後に痛みを感じることはなく、冷たいものがしみることもなくなりました。
奥の大臼歯にもむし歯があったので、一緒に処置を行いました。
セラミック治療の注意事項(リスク・副作用など)
- 天然歯を削ります
- 硬い素材は天然歯を傷つけてしまう場合があります
- かみ合わせや歯ぎしりが強すぎる方はセラミックが割れてしまう可能性があります
- 自費診療(保険適用外治療)となります
当サイトの内容、テキスト、画像等の無断転載、複製、複写、盗用を固く禁じます。










