症例詳細
Case detail
笑うとキラリと光る銀歯を何とかしたい:適合の良いセラミックで長持ちする歯に
治療症例の内容
- 診療科目
- 担当医
- 患者様
- 40代女性
- 治療期間
- 2ヶ月
- 治療回数
- 2-5回
- 治療計画
- 笑うと銀歯が目立って気になると来院された方です。まずは外から見えやすいところから治療を開始しました。
- 費用(概算)
- セラミックインレー7万円・仮歯1万円・フルジルコニアクラウン7万円(精密根管治療は別途)費用は治療当時の料金となります
治療について
自然な見た目に大変喜んでいただけました。
他部位の銀歯も順次治療介入していく予定です。
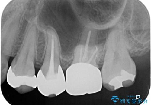
根管治療をした歯は神経のある歯と比較して強度が下がり、長期的に破折のリスクが高まると言われています。破折のリスクを軽減させるため、根管治療を行った歯に対しては歯冠をすべて覆うクラウンという被せ物にて補綴処置を行います。
適合不良の補綴物は二次的な虫歯発生のリスクが高まります。
自費診療で用いられる材料は保険適応の材料に比べて、より精密で適合の良い被せ物作ることができるため、長期的な虫歯のリスクを大幅に減らすことが可能です。
セラミック治療の注意事項(リスク・副作用など)
- 天然歯を削ります
- 硬い素材は天然歯を傷つけてしまう場合があります
- かみ合わせや歯ぎしりが強すぎる方はセラミックが割れてしまう可能性があります
- 自費診療(保険適用外治療)となります
当サイトの内容、テキスト、画像等の無断転載、複製、複写、盗用を固く禁じます。







