症例詳細
Case detail
口元が出てるのが気になる 抜歯矯正でしっかりと前歯をさげてすっきりした口元へ
治療症例の内容
- 診療科目
- 治療カテゴリ
- 担当医
- 患者様
- 30代女性
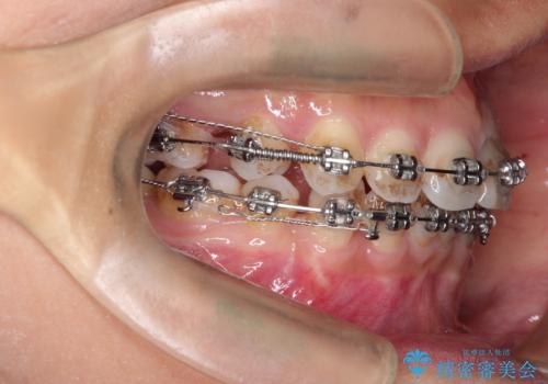
- 矯正装置
- メタルブラケット
- 治療期間
- 3年2ヶ月
- 治療回数
- 30回以上
- 治療計画
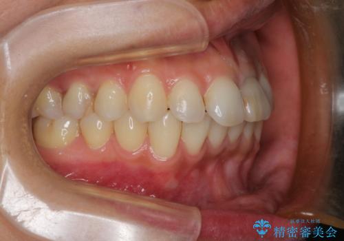
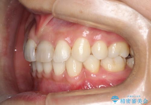
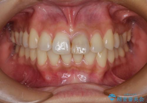
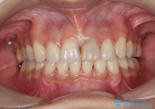
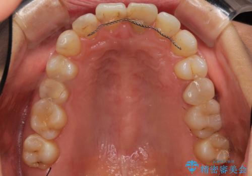
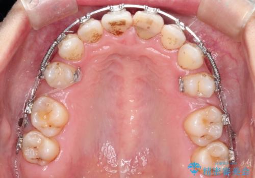
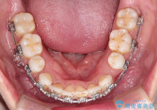
- 以前他院で、矯正治療をされていましたが、口元が出ているのがまだ気になるとのことで来院されました。
通常このような状態では前から4番目の歯を、上下左右合計4本抜歯を行いますが、上顎は前から5番目の歯が虫歯の治療をされていたのでこちらの歯を抜歯する計画としました。
- 費用(概算)
- 約90万円費用は治療当時の料金となります
治療について
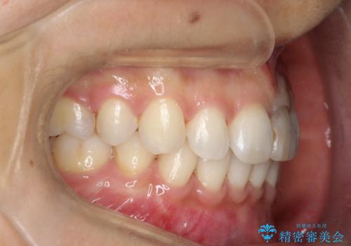
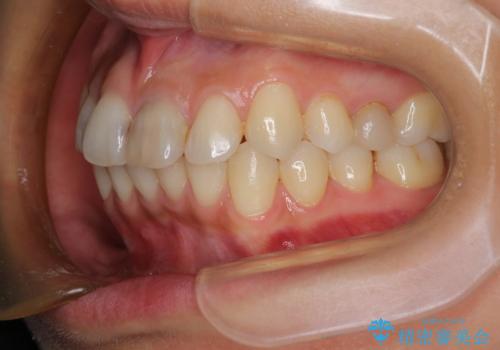
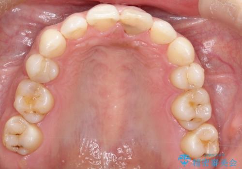
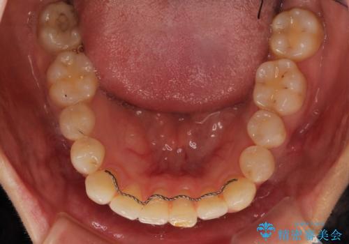
上顎の前から5番目の歯を抜歯したため、4番目の抜歯よりも治療期間が必要となりましたが、しっかり前歯の位置がさがり、口元もすっきりしました。
ワイヤー矯正の注意事項(リスク・副作用など)
- 治療中は違和感や痛みが起こることがあります
- 症状により、抜歯が必要な場合があります
- 治療中は歯磨きがしにくくなるため、虫歯や歯周病になりやすくなります
- 矯正治療後の保定が不十分だと後戻り(元の位置に戻ろうとする動き)をします
- 自費診療(保険適用外)となります
当サイトの内容、テキスト、画像等の無断転載、複製、複写、盗用を固く禁じます。



















