症例詳細
Case detail
セラミックインレーとゴールドインレー
治療症例の内容
- 診療科目
- 治療カテゴリ
- 担当医
- 大元洋佑(ドクタープロフィール)
- 患者様
- 30代女性
- 治療期間
- 1ヶ月
- 治療回数
- 2-5回
- 治療計画
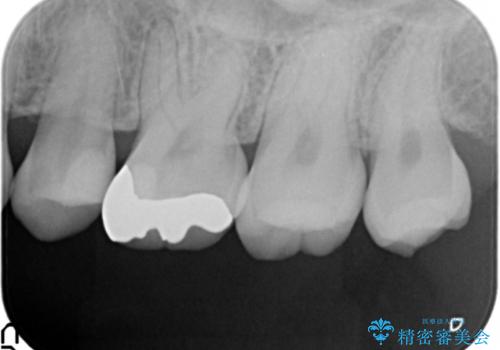
- 検診で当院を受診され、X線写真検査により大きな虫歯が見つかった症例です。
歯の種類、かかると予想される咬合力負担、残存歯質、審美性等々を考慮し審美的なセラミックインレー、力に強いゴールドインレーをそれぞれ選択し修復を行いました。
- 費用(概算)
- 13万円(税別)ゴールドインレー セラミックインレー費用は治療当時の料金となります
インレー治療について
セラミックインレーは審美性に勝り、ゴールドインレーは耐破折性に勝る、共に大きなメリットのある修復方法です。
PGA(ゴールド)クラウン、インレーの注意事項(リスク・副作用など)
- インレーおよびクラウンは脱離するリスクがあります
- 形成量はセラミックより少ないですが、歯の形成、修復後に歯に症状が出ることがあります
- 自費診療(保険適用外治療)となります
セラミック治療の注意事項(リスク・副作用など)
- 天然歯を削ります
- 硬い素材は天然歯を傷つけてしまう場合があります
- かみ合わせや歯ぎしりが強すぎる方はセラミックが割れてしまう可能性があります
- 自費診療(保険適用外治療)となります
当サイトの内容、テキスト、画像等の無断転載、複製、複写、盗用を固く禁じます。




