症例詳細
Case detail
インプラントは嫌 親知らずの移植 50代女性
治療症例の内容
- 診療科目
- 治療カテゴリ
- 担当医
- 患者様
- 50代女性
- 治療期間
- 4ヶ月
- 治療回数
- 2-5回
- 治療計画
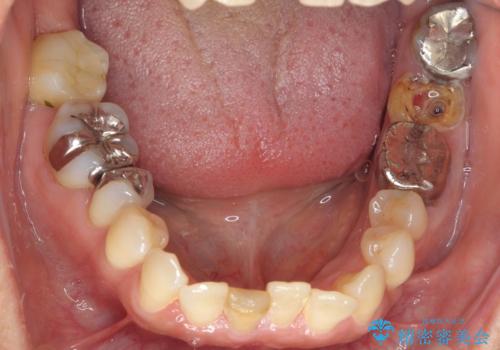
- 親知らずの移植をご希望し、遠方から来院された患者様です。
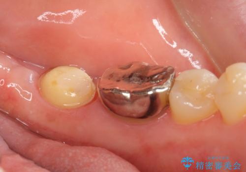
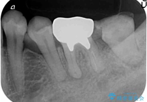
左下の奥歯(左下7)は破折しており保存不可能な状態でした。
ご希望により、隣の親知らず(左下8)を移植しました。
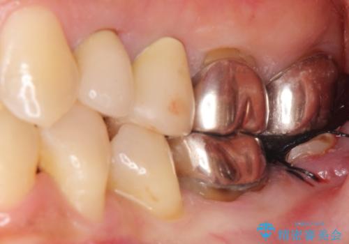
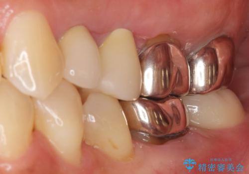
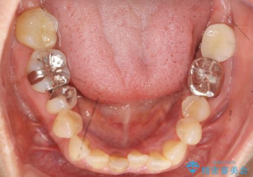
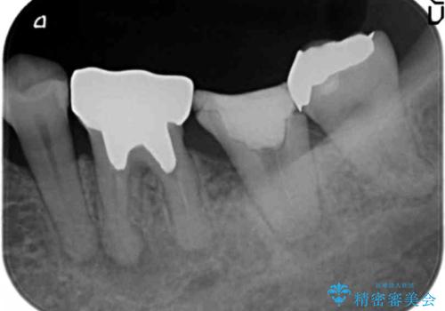
移植後、生着を待って根管治療及び補綴修復を行いました。
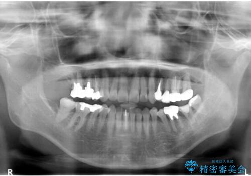
※術前にレントゲン・CTを撮影し、抜去する歯と親知らずの根の長さ・幅径・形態を確認し、移植の可否を判断してから手術を行っております。
- 費用(概算)
- ¥320,000 (自家歯牙移植、根管治療、仮歯、土台、クラウン)費用は治療当時の料金となります
治療について
親知らずの移植により、自分の歯を用いて咬合機能を回復することができ、大変喜んで頂けました。
自家歯牙移植は40歳以上の場合、若年者に比べ成功率が低くなるとの報告もありますが、状態によっては移植が可能な場合もあります。
ぜひご相談下さい。
被せ物の種類:オールセラミッククラウン スタンダード
セラミック治療の注意事項(リスク・副作用など)
- 天然歯を削ります
- 硬い素材は天然歯を傷つけてしまう場合があります
- かみ合わせや歯ぎしりが強すぎる方はセラミックが割れてしまう可能性があります
- 自費診療(保険適用外治療)となります
自家歯牙移植の注意事項(リスク・副作用など)
- 外科手術のため、術後に痛みや腫れ、違和感を伴います
- 適応範囲に制限があります(健康な親知らず・移植歯が必要など)
- 移植歯が生着しない可能性があります
- 予後が不安定で歯によっては長く持たない可能性があります
当サイトの内容、テキスト、画像等の無断転載、複製、複写、盗用を固く禁じます。





















