症例詳細
Case detail
20代男性 奥歯のインプラント 自分の骨を移植
治療症例の内容
- 担当医
- 井上季実子(ドクタープロフィール)
- 患者様
- 20代男性
- 治療期間
- 6ヶ月
- 治療回数
- 5-10回
- 治療計画
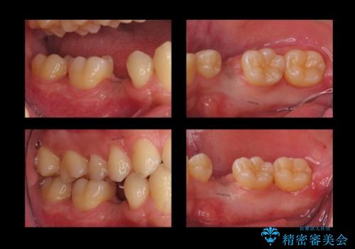
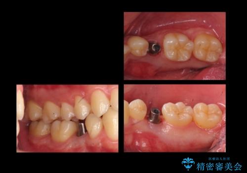
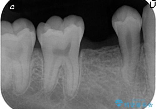
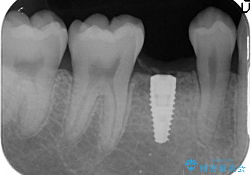
- 当院で矯正治療後、奥歯(前から5番目の歯)のインプラントを行いました。
元々乳歯が残っており、永久歯が欠損していました。
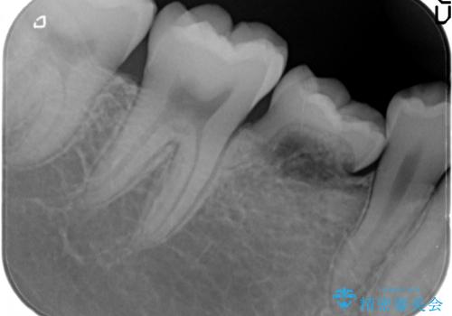
また、一番後ろの永久歯(7番目)の周りに骨がたくさんあり、そこの骨の形を整えて削ってあげたほうが、7番目の歯がしっかり歯茎の炎症も治りやすい状況でした。
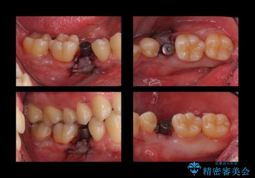
そのため、5番目のインプラントと、7番目の骨整形を同時に行い、整形で取れた7番目の骨をインプラント周囲に移植し、骨を増やすことにしました。
矯正治療の経過は以下に示しています。
https://seimitsushinbi.jp/case/63765/
- 費用(概算)
- 42万円 内訳:ストローマンインプラント(1本)20万円、ジルコニアクラウン10万円、シリンダーTeC 2万円 カスタムアバットメント10万円費用は治療当時の料金となります
治療について
元々乳歯が残っていた場所であり、骨はたくさんあったため、インプラントを入れるのにそこまで支障はありませんでした。
ただし、奥歯の骨外科治療を同時に行うことで、同時についでに自分の骨を移植できるタイミングだったため行っておきました。
インプラント治療の注意事項(リスク・副作用など)
- 外科手術のため、術後に痛みや腫れ、違和感を伴います
- メンテナンスを怠ったり喫煙により、お口の中に大きな悪影響を及ぼすインプラント周囲炎等にかかる可能性があります
- 糖尿病、肝硬変、心臓病等の場合、インプラント治療ができない可能性があります
- 高血圧、貧血・不整脈等の場合、インプラント治療後に治癒不全を招く可能性があります
- 自費診療(保険適用外治療)となります
当サイトの内容、テキスト、画像等の無断転載、複製、複写、盗用を固く禁じます。













