症例詳細
Case detail
他院で断られた骨造成を伴うインプラント治療
治療症例の内容
- 診療科目
- 治療カテゴリ
- 担当医
- 大元洋佑(ドクタープロフィール)
- 患者様
- 20代女性
- 治療期間
- 10ヶ月
- 治療回数
- 5-10回
- 治療計画
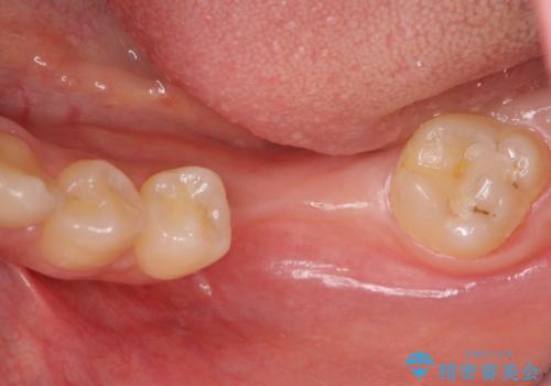
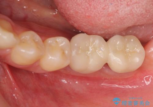
- 虫歯を放置し他院で抜歯後、入れ歯を提案されインプラント治療を希望され来院されました。
CT画像より骨の量は少なくそのままではインプラントの埋入が難しい状態です。
骨造成を行い安定したインプラントの環境を整える治療を計画します。
- 費用(概算)
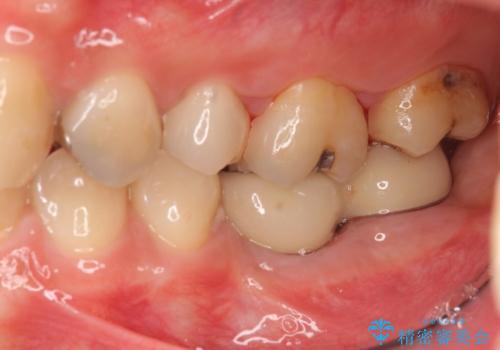
- 80万円(インプラント×2・骨造成・アバットメント×2)・ジルコニアクラウン×2)費用は治療当時の料金となります
インプラント治療について
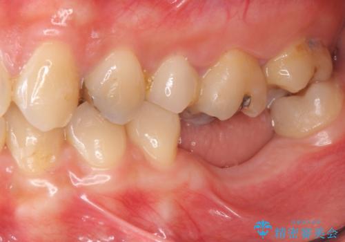
インプラントの長期的な予後を見込むには、インプラント周囲の安定した十分な骨量や清掃性、角化歯肉の存在が重要です。
インプラント治療の注意事項(リスク・副作用など)
- 外科手術のため、術後に痛みや腫れ、違和感を伴います
- メンテナンスを怠ったり喫煙により、お口の中に大きな悪影響を及ぼすインプラント周囲炎等にかかる可能性があります
- 糖尿病、肝硬変、心臓病等の場合、インプラント治療ができない可能性があります
- 高血圧、貧血・不整脈等の場合、インプラント治療後に治癒不全を招く可能性があります
- 自費診療(保険適用外治療)となります
外科処置の注意事項(リスク・副作用など)
- 外科手術のため、術後に出血、痛みや腫れ、違和感を伴います
- 口腔内の状態によっては適応できないことがあります
当サイトの内容、テキスト、画像等の無断転載、複製、複写、盗用を固く禁じます。


















