症例詳細
Case detail
遊離歯肉移植術を併用した、破折歯のインプラント治療
治療症例の内容
- 診療科目
- 治療カテゴリ
- 担当医
- 大元洋佑(ドクタープロフィール)
- 患者様
- 40代女性
- 治療期間
- 6ヶ月
- 治療回数
- 5-10回
- 治療計画
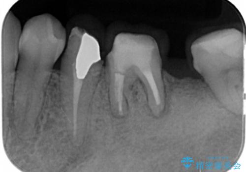
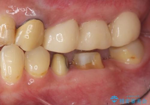
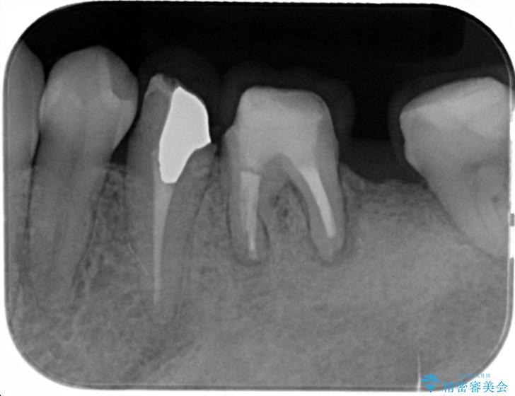
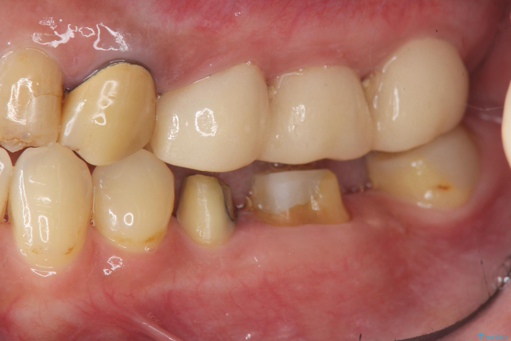
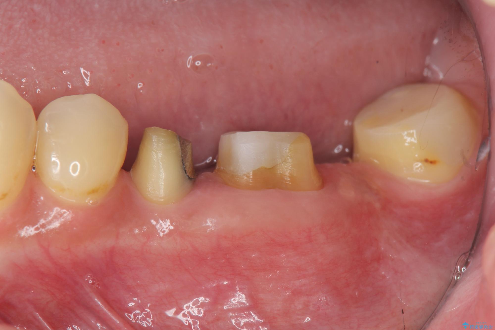
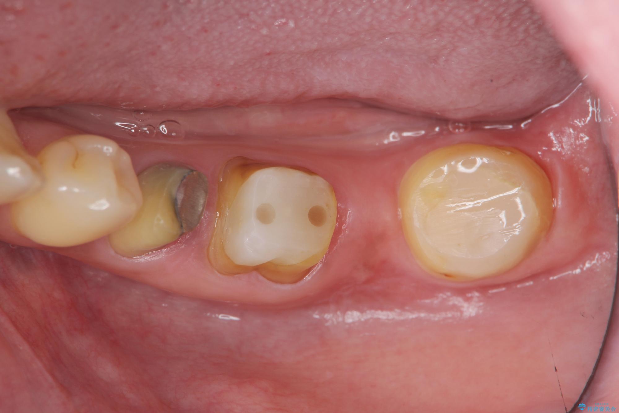
- 他院で根の治療まで終え、違和感が取れず相談に来院されました。
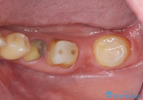
当該歯を精査したところ、歯根に破折が見られ抜歯を余儀なくされました。
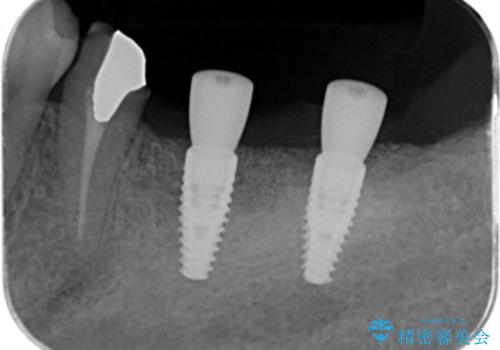
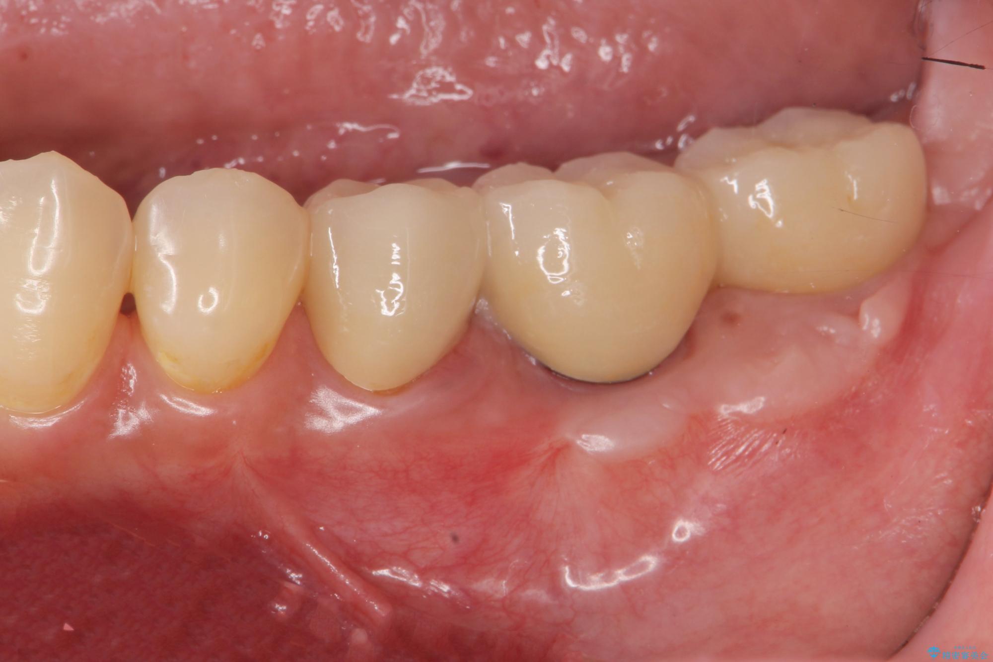
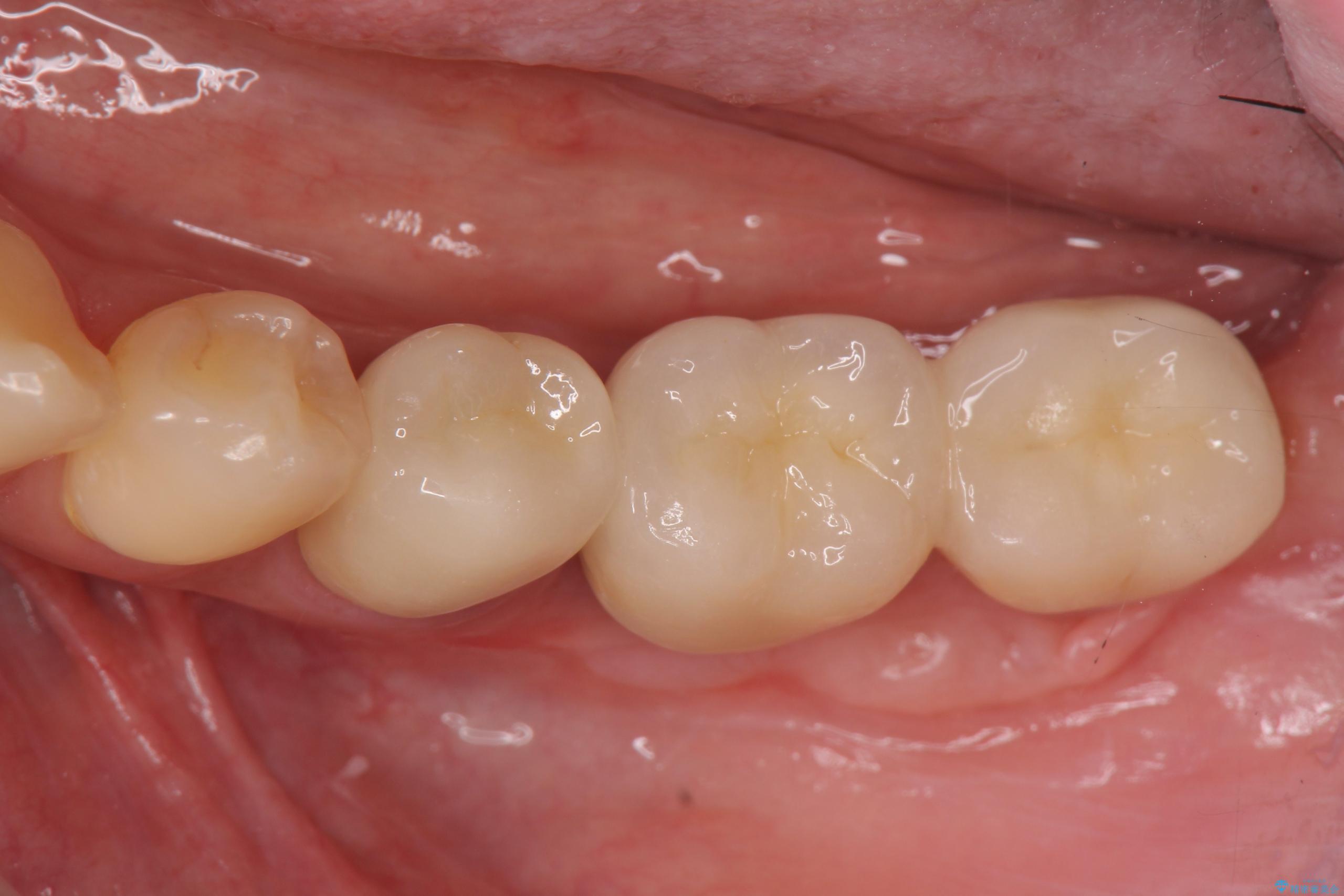
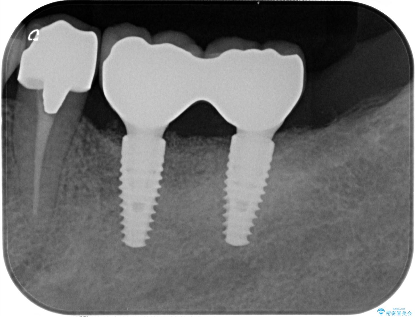
抜歯後、インプラントを用いて咬合機能を回復すると共に周囲に強固な角化歯肉を移植することによりより長期にわたり安定したインプラント周囲環境となるよう治療を計画します。
- 費用(概算)
- 83.6万円(インプラント×2・アバットメント×2・クラウン×2)費用は治療当時の料金となります
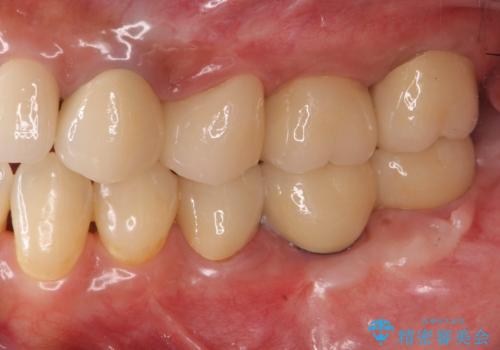
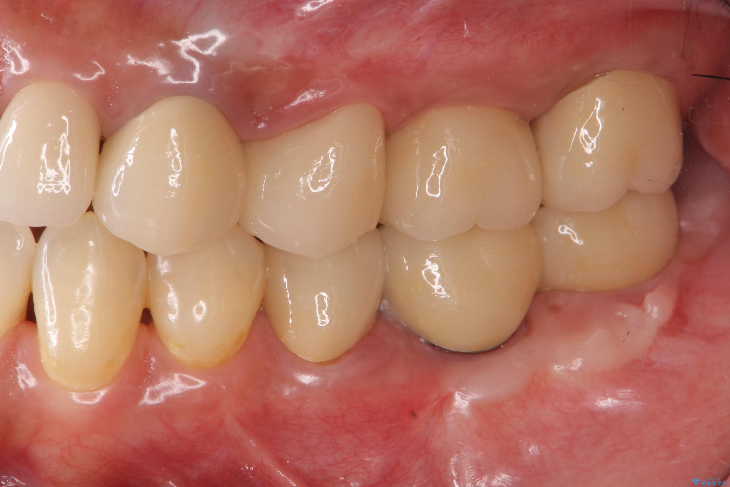
治療について
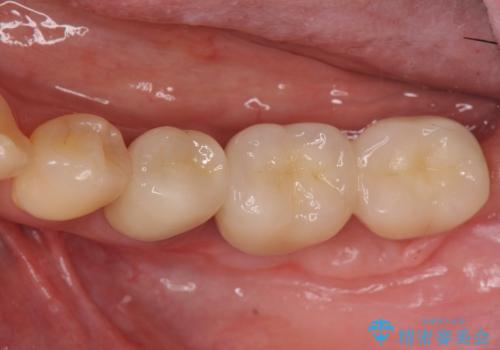
インプラント周囲の角化歯肉が存在することにより、歯ブラシがしやすくなりインプラントにトラブルが起きる確率を減らしより長期的な予後を望むことができます。
インプラント治療の注意事項(リスク・副作用など)
- 外科手術のため、術後に痛みや腫れ、違和感を伴います
- メンテナンスを怠ったり喫煙により、お口の中に大きな悪影響を及ぼすインプラント周囲炎等にかかる可能性があります
- 糖尿病、肝硬変、心臓病等の場合、インプラント治療ができない可能性があります
- 高血圧、貧血・不整脈等の場合、インプラント治療後に治癒不全を招く可能性があります
- 自費診療(保険適用外治療)となります
当サイトの内容、テキスト、画像等の無断転載、複製、複写、盗用を固く禁じます。












