症例詳細
Case detail
清掃しづらく、見た目の気になるブリッジ
治療症例の内容
- 診療科目
- 治療カテゴリ
- 担当医
- 大元洋佑(ドクタープロフィール)
- 患者様
- 40代女性
- 治療期間
- 1ヶ月
- 治療回数
- 2-5回
- 治療計画
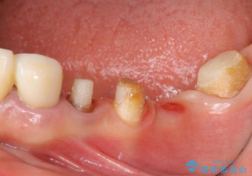
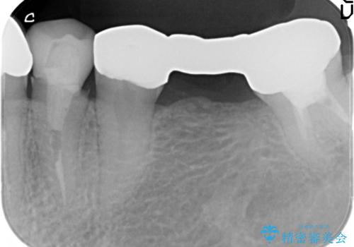
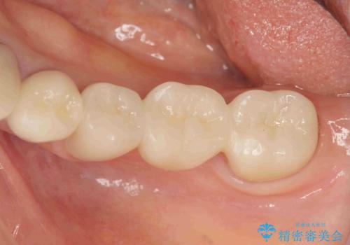
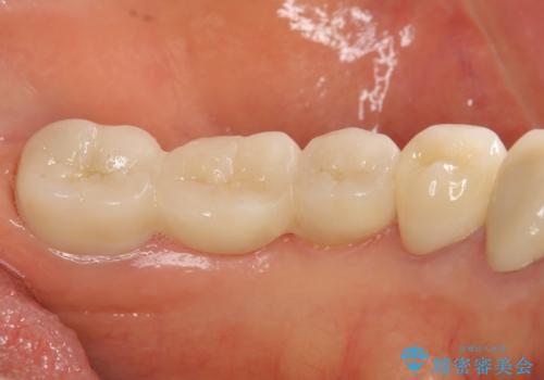
- 毎回食事のたびに食べかすがつまり、見た目も気になる銀歯のブリッジやりかえを希望され来院されました。
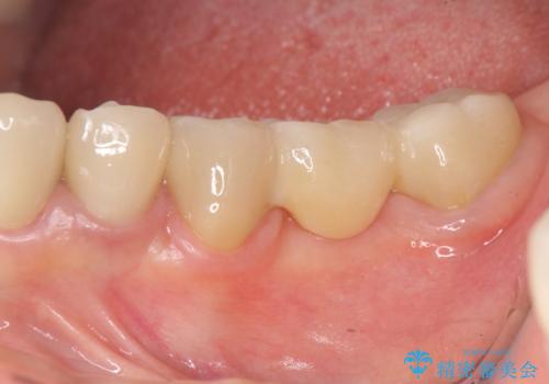
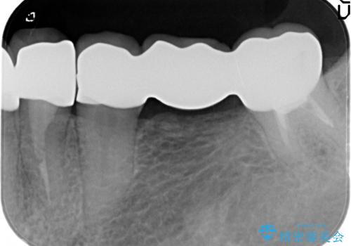
精度の高いジルコニアブリッジの製作に加え歯茎にぴったりとそわせたオベイトポンティック形態とすることで清掃性・審美性に優れたブリッジを製作します。
- 費用(概算)
- 35万円(仮歯・ファイバーコア・ジルコニアクラウン×3)費用は治療当時の料金となります
オベイトポンティックについて
歯ぐきの形態にそわせ、凸型でくぼみのないオベイト型のポンティックはプラークの溜まりにくく審美性も達成できるポンティック形態です。
セラミック治療の注意事項(リスク・副作用など)
- 天然歯を削ります
- 硬い素材は天然歯を傷つけてしまう場合があります
- かみ合わせや歯ぎしりが強すぎる方はセラミックが割れてしまう可能性があります
- 自費診療(保険適用外治療)となります
当サイトの内容、テキスト、画像等の無断転載、複製、複写、盗用を固く禁じます。












