症例詳細
Case detail
埋もれた犬歯を引っ張り出す 小学生のⅠ期治療
治療症例の内容
- 担当医
- 藤巻太一朗(ドクタープロフィール)
- 患者様
- 10代女性
- 治療期間
- 4ヶ月
- 治療回数
- 2-5回
- 治療計画
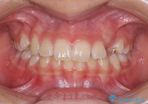
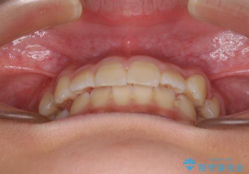
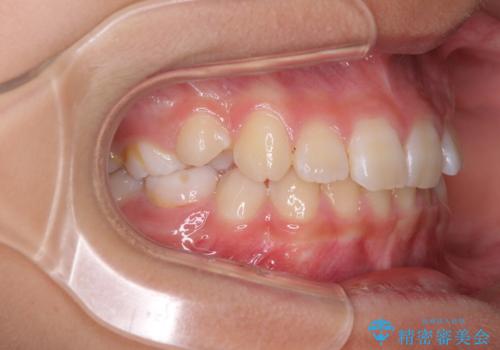
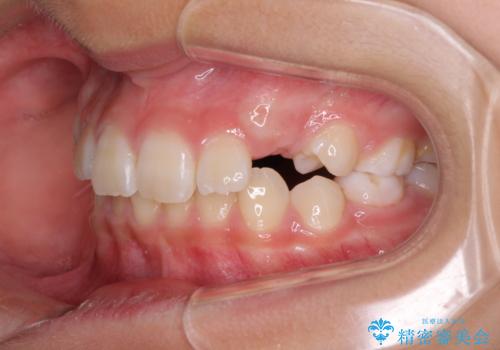
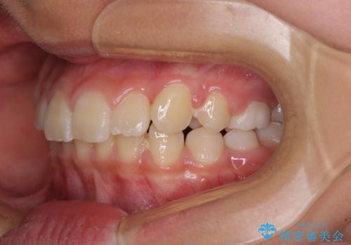
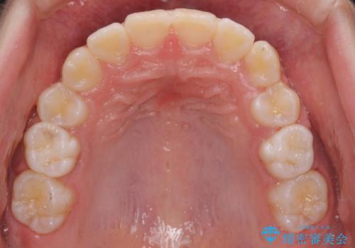
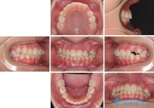
- 小学校での定期歯科検診にて歯列不正を指摘されたとのことで来院された患者様です。
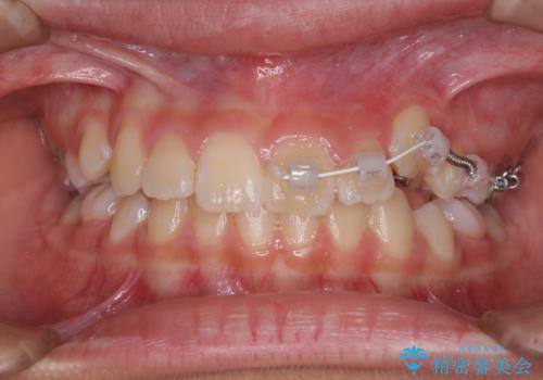
左上の犬歯が低位に埋伏しており、将来八重歯になるリスクが高いと判断されたため、補助装置とワイヤーを用いて犬歯を通常の位置まで移動させることとしました。
- 費用(概算)
- 治療費の目安: 20万円費用は治療当時の料金となります
治療について
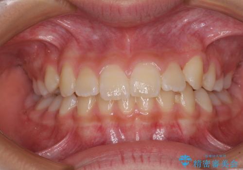
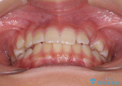
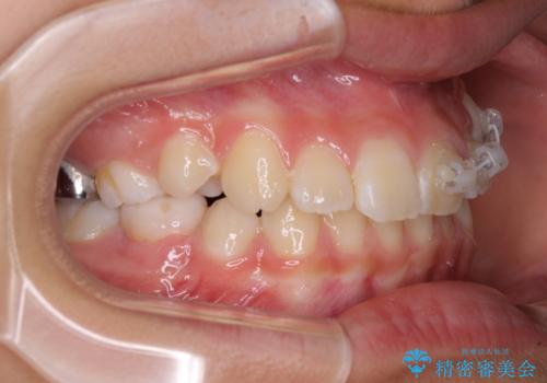
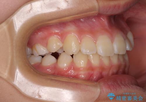
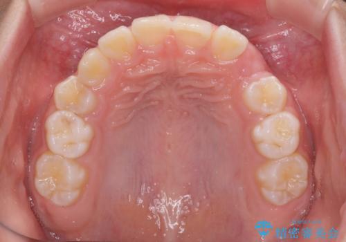
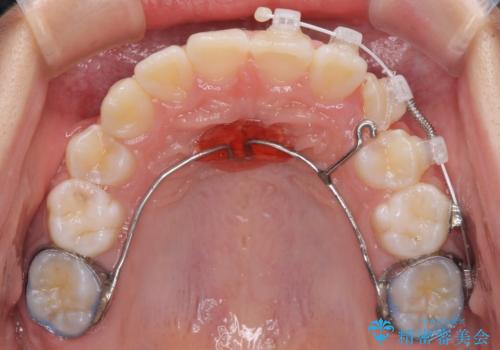
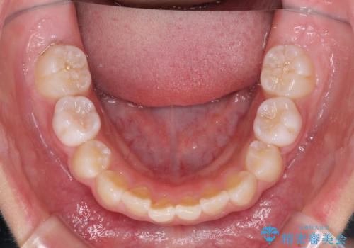
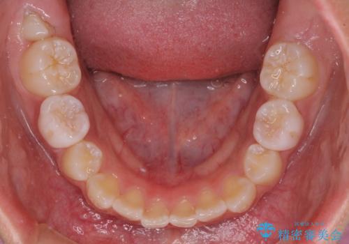
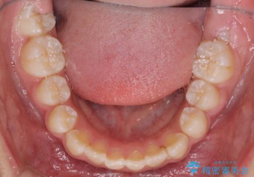
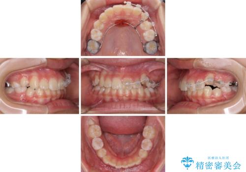
今後残っている乳歯が抜け、永久歯が萌出してくるため、調整可能なリンガルアーチを用いて保定を行っています。
12歳臼歯が萌出するまで経過観察を行い、すべての歯が萌出した後に、全顎矯正治療(Ⅱ期治療)を行っていきます。
ワイヤー矯正の注意事項(リスク・副作用など)
- 治療中は違和感や痛みが起こることがあります
- 症状により、抜歯が必要な場合があります
- 治療中は歯磨きがしにくくなるため、虫歯や歯周病になりやすくなります
- 矯正治療後の保定が不十分だと後戻り(元の位置に戻ろうとする動き)をします
- 自費診療(保険適用外)となります
当サイトの内容、テキスト、画像等の無断転載、複製、複写、盗用を固く禁じます。
























