症例詳細
Case detail
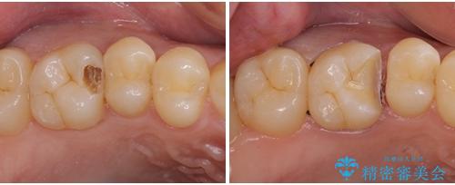
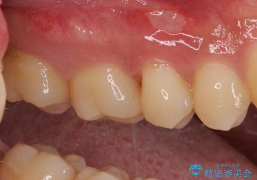
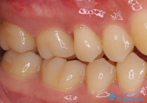
フロスが引っかかる セラミックインレーによるむし歯治療
治療症例の内容
- 診療科目
- 治療カテゴリ
- 担当医
- 藤巻太一朗(ドクタープロフィール)
- 患者様
- 20代男性
- 治療期間
- 2ヶ月
- 治療回数
- 2-5回
- 治療計画
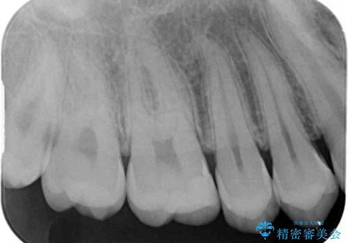
- ウェブサイトの症例(https://seimitsushinbi.jp/case/9473/)を見て、同じようにフロスが引っかかるとのことで来院された患者様です。
虫歯を除去した後、セラミックインレーにて修復治療を行うこととしました。
- 費用(概算)
- 治療費の目安: 7万円費用は治療当時の料金となります
治療について
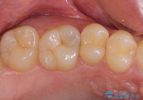
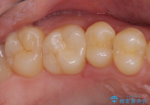
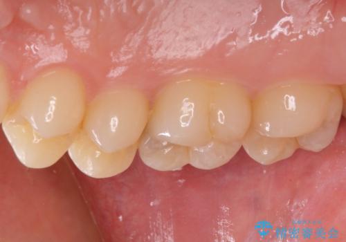
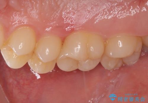
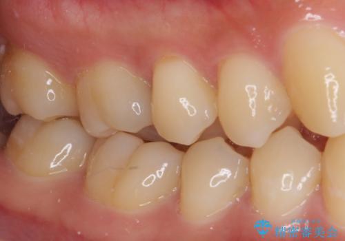
セラミックインレー装着後はフロスの引っかかるストレスから解放され、患者様には大変満足していただきました。
セラミック治療の注意事項(リスク・副作用など)
- 天然歯を削ります
- 硬い素材は天然歯を傷つけてしまう場合があります
- かみ合わせや歯ぎしりが強すぎる方はセラミックが割れてしまう可能性があります
- 自費診療(保険適用外治療)となります
当サイトの内容、テキスト、画像等の無断転載、複製、複写、盗用を固く禁じます。











