症例詳細
Case detail
八重歯を1年で矯正
治療症例の内容
- 診療科目
- 担当医
- 井上季実子(ドクタープロフィール)
- 患者様
- 20代女性
- 矯正装置
- プラスチックブラケット
- 治療期間
- 1年3ヶ月
- 治療回数
- 10-30回
- 治療計画
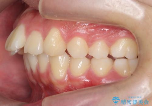
- がたがた、八重歯を主訴に来院。
下の前歯が1本、生まれつきありませんでした。(英語で3 incisors)。
下の前歯は本来4本ありますが、3本です。
上の歯の凹凸の解消のため、上の小臼歯を2本抜歯しています。
下の歯は抜いていません。
下の歯の数が合わないことについては、上の歯を少し削って小さくし、また、3本の下の前歯の真ん中の歯を正中に持ってくることで咬み合わせを合わせるように対応しました。
ですので、正中の線は上下で一見ずれているように見えますが、これで正しい状態です。
今回は抜歯ケースですが、歯の動きも良く、比較的短期間で終えることができました。
- 費用(概算)
- 70万円費用は治療当時の料金となります
治療後の感想
毎日の歯磨きは大変でしたが、ゴムをしっかりつけていると先生方がほめてくださったり、受付のお姉さんも歯ブラシの使い方のアドバイスをしてもらえて毎回楽しく通っています。
まだリテーナーがあるので頑張ります!!
よろしくお願いします!
ありがとうございました。
ワイヤー矯正の注意事項(リスク・副作用など)
- 治療中は違和感や痛みが起こることがあります
- 症状により、抜歯が必要な場合があります
- 治療中は歯磨きがしにくくなるため、虫歯や歯周病になりやすくなります
- 矯正治療後の保定が不十分だと後戻り(元の位置に戻ろうとする動き)をします
- 自費診療(保険適用外)となります
当サイトの内容、テキスト、画像等の無断転載、複製、複写、盗用を固く禁じます。


















