症例詳細
Case detail
歯が折れた セラミックで綺麗に 30代女性
治療症例の内容
- 診療科目
- 治療カテゴリ
- 担当医
- 患者様
- 30代女性
- 治療期間
- 1ヶ月
- 治療回数
- 2-5回
- 治療計画
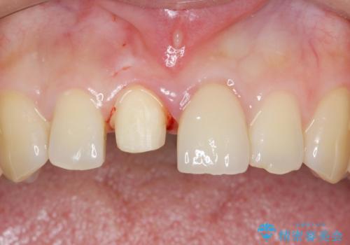
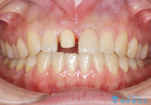
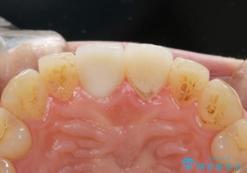
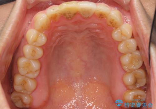
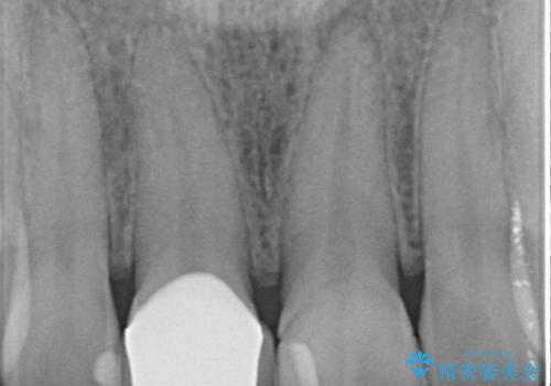
- 右上の前歯が折れたことを主訴に来院された患者様です。
歯が折れた部分は他院により応急処置で仮止めされていました。
欠けた範囲が大きかったため、セラミッククラウンによる補綴治療を行いました。
※左上の前歯(外国で治療されたとのこと)の失活が疑われたためそちらの治療も提案しましたが、ご希望されませんでした。
- 費用(概算)
- ¥190,000 (仮歯、セラミッククラウン)費用は治療当時の料金となります
治療について
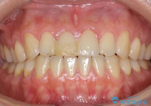
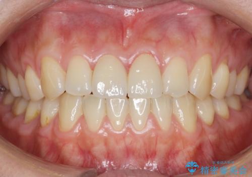
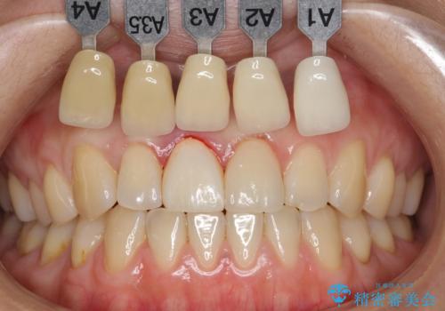
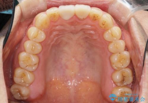
天然歯と見紛うほどの自然な仕上がりに大変喜んで頂けました。
隣在歯を模倣した表面性状・繊細なグラデーション・透明感による再現性の高いセラミッククラウンは、熟練した技工士さんの技術の賜物です。
~被せ物の種類~
ジルコニアクラウン エクセレント
セラミック治療の注意事項(リスク・副作用など)
- 天然歯を削ります
- 硬い素材は天然歯を傷つけてしまう場合があります
- かみ合わせや歯ぎしりが強すぎる方はセラミックが割れてしまう可能性があります
- 自費診療(保険適用外治療)となります
当サイトの内容、テキスト、画像等の無断転載、複製、複写、盗用を固く禁じます。














