症例詳細
Case detail
外れそうで不適合のかぶせ物の根管治療からの再治療
治療症例の内容
- 診療科目
- 治療カテゴリ
- 担当医
- 患者様
- 20代女性
- 治療期間
- 4ヶ月
- 治療回数
- 2-5回
- 治療計画
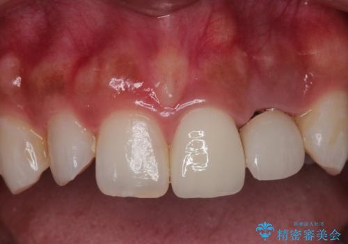
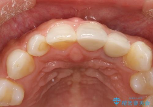
- 左上の前歯が外れそうとのことで来院されました。
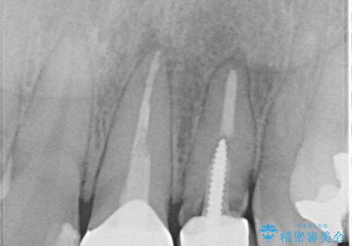
レントゲンを撮影すると、不適合のかぶせ物が装着されており、根管治療も不十分でした。
左上の1番目、2番目の歯を根管治療からの再治療を行う計画としました。
- 費用(概算)
- 約40万円費用は治療当時の料金となります
治療について
レントゲン上でも適合の良いかぶせ物が装着できています。
セラミック治療の注意事項(リスク・副作用など)
- 天然歯を削ります
- 硬い素材は天然歯を傷つけてしまう場合があります
- かみ合わせや歯ぎしりが強すぎる方はセラミックが割れてしまう可能性があります
- 自費診療(保険適用外治療)となります
当サイトの内容、テキスト、画像等の無断転載、複製、複写、盗用を固く禁じます。










