症例詳細
Case detail
下の前歯の色が気になる セラミックで綺麗に 40代男性
治療症例の内容
- 診療科目
- 担当医
- 患者様
- 40代男性
- 治療期間
- 2ヶ月
- 治療回数
- 2-5回
- 治療計画
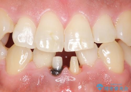
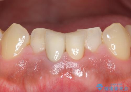
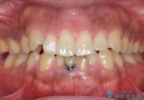
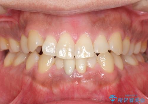
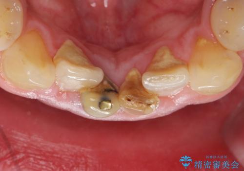
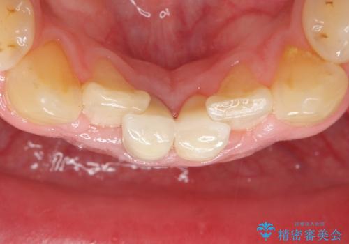
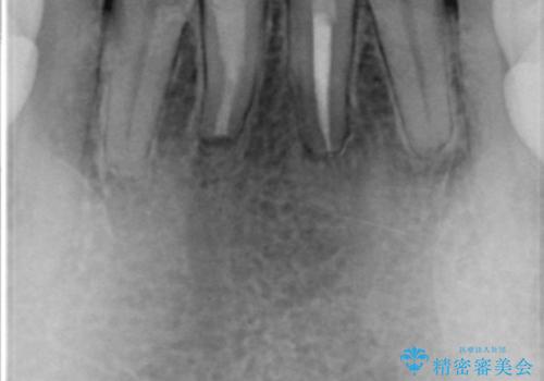
- 下の前歯の色が気になることを主訴に来院された患者様です。
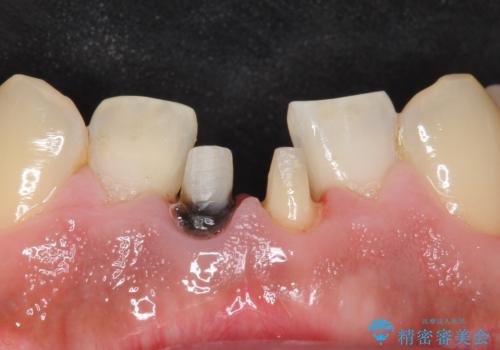
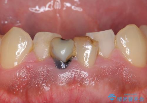
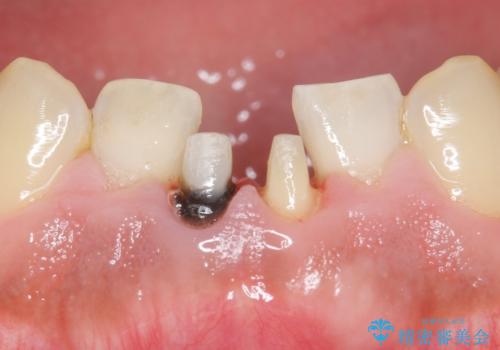
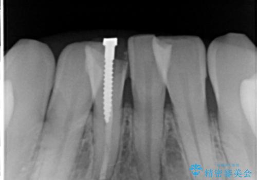
下の前歯は金属の土台により黒くなり、隣の歯も神経が死んで暗く変色していました。
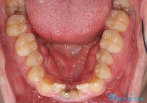
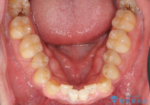
神経が死んでいる歯の根管治療を行った後、セラミッククラウンによる補綴治療を行いました。
※右下1の再根管治療もおすすめしましたがご希望されませんでした。
※下顎前歯部の叢生について矯正も提案致しましたが、ご希望されませんでした。
- 費用(概算)
- ¥320,000 (根管治療×1、土台×2、仮歯×2、クラウン×2)費用は治療当時の料金となります
治療について
比較的短期間(2ヶ月、来院回数:5回)で治療が終わったこと、また自然な仕上がりと使用感にご満足頂けました。
~被せ物の種類~
ジルコニアクラウン スタンダード
セラミック治療の注意事項(リスク・副作用など)
- 天然歯を削ります
- 硬い素材は天然歯を傷つけてしまう場合があります
- かみ合わせや歯ぎしりが強すぎる方はセラミックが割れてしまう可能性があります
- 自費診療(保険適用外治療)となります
根管治療の注意事項(リスク・副作用など)
- 根管治療により類似の全ての症例の問題が解決するわけではなく、症例はあくまでも一例です
- 根管治療により痛みや腫れがひかない事や、術後に痛みや腫れが生じる事、治療によるファイル破折やパーフォレーションなどの偶発症、術後の歯根破折を生じる可能性もあります
- 自費診療(保険適用外)となります
当サイトの内容、テキスト、画像等の無断転載、複製、複写、盗用を固く禁じます。





















