症例詳細
Case detail
インビザラインでスッキリとした口元に
治療症例の内容
- 診療科目
- 治療カテゴリ
- 担当医
- 藤巻太一朗(ドクタープロフィール)
- 患者様
- 30代女性
- 矯正装置
- インビザライン
- 治療期間
- 2年2ヶ月
- 治療回数
- 10-30回
- 治療計画
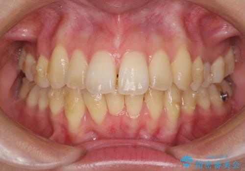
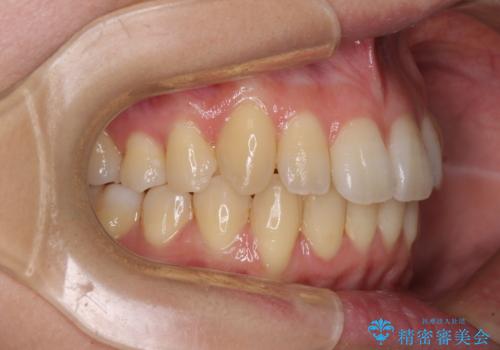
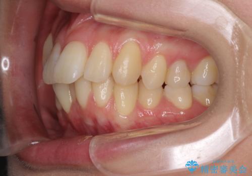
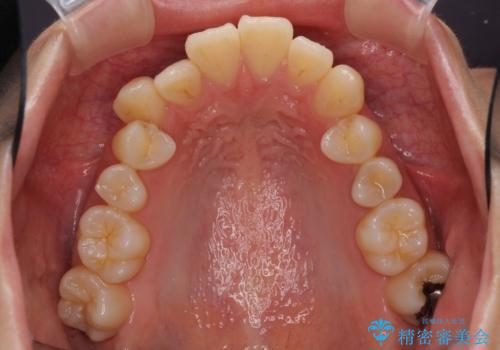
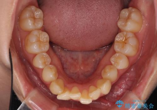
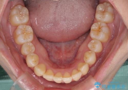
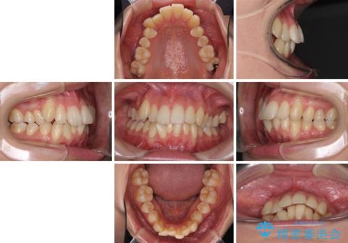
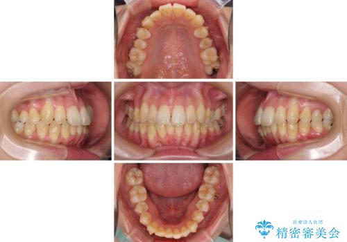
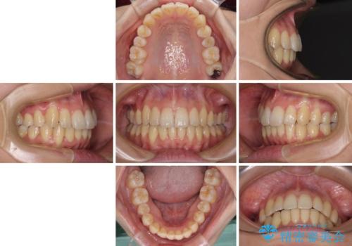
- 上の前歯、および下の歯列全体のでこぼこを気にして来院された患者様です。
インビザラインを用い、IPR(歯と歯の間を削る)と歯列全体を後方に移動させることで、歯並びを整えていくこととしました。
歯列全体を後方に移動させるため、下顎の親知らず2本を抜歯することとしました。
- 費用(概算)
- 治療費の目安: 85万円費用は治療当時の料金となります
治療について
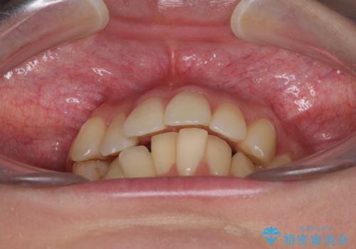
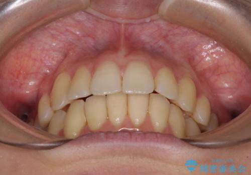
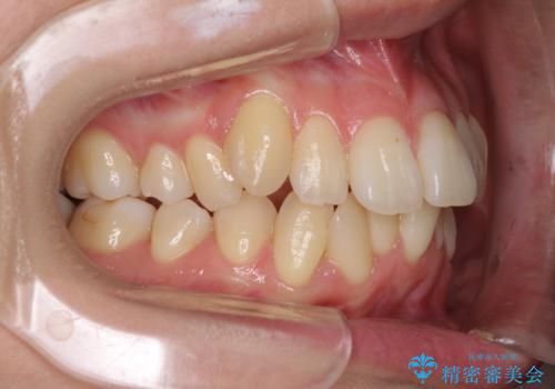
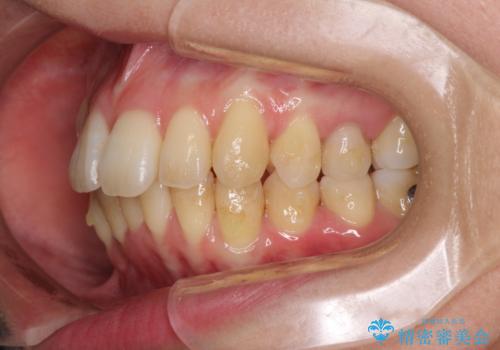
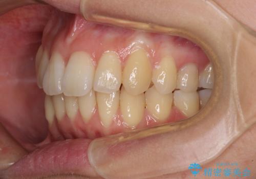
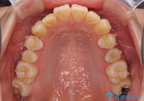
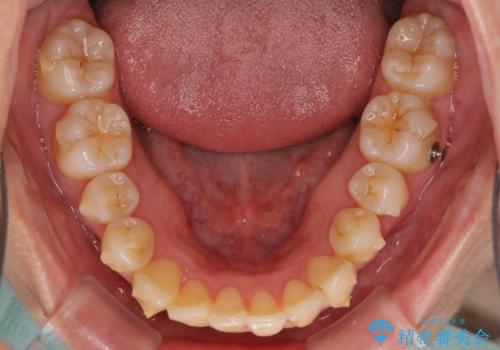
突出した印象のあった前歯をきれいに引っ込めることができたので、口が閉じやすくなり、横顔の印象をスッキリとさせることができました。
でこぼこしていて磨きにくかった歯と歯の間も清掃しやすくなり、患者様には大変満足していただきました。
マウスピース矯正の注意事項(リスク・副作用など)
- 口腔内・歯並びの状態によっては対応できない場合があります
- マウスピース型矯正装置の長時間装着(1日20時間以上)が必須です
- 治療計画通りに進めるためには、患者様の意志が重要になります
- 矯正治療後の保定が不十分だと後戻り(元の位置に戻ろうとする動き)をします
- 薬機法対象外の矯正歯科装置のため医薬品副作用被害救済制度の対象外となる場合があります
- 自費診療(保険適用外)となります
当サイトの内容、テキスト、画像等の無断転載、複製、複写、盗用を固く禁じます。


























