症例詳細
Case detail
海外勤務中のインビザラインによる矯正治療
治療症例の内容
- 診療科目
- 担当医
- 藤巻太一朗(ドクタープロフィール)
- 患者様
- 20代女性
- 矯正装置
- インビザライン
- 治療期間
- 1年6ヶ月
- 治療回数
- 10-30回
- 治療計画
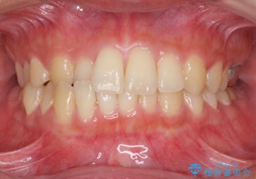
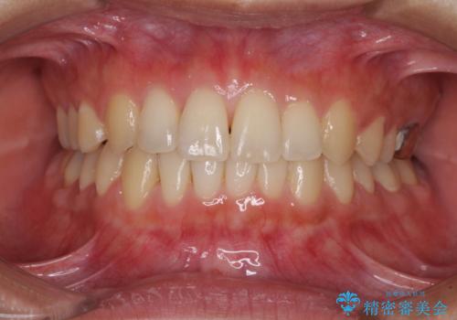
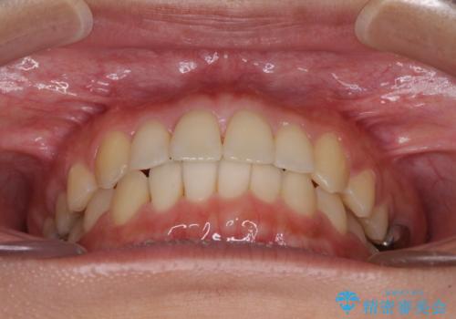
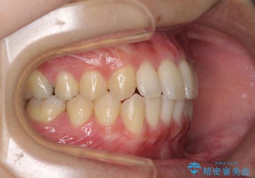
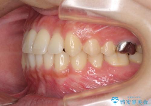
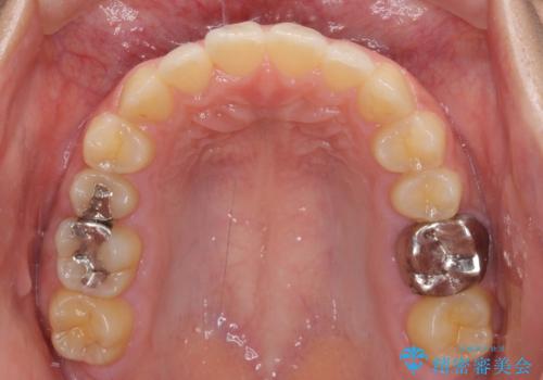
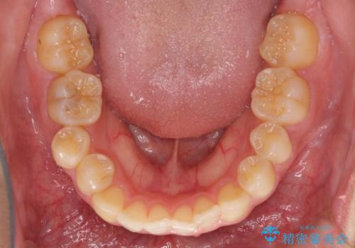
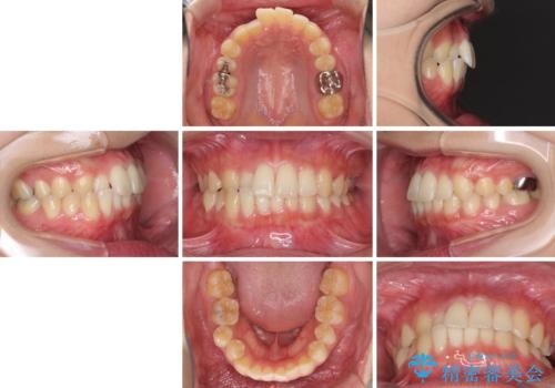
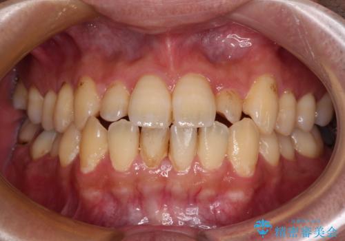
- 前歯のクロスバイトを気にして来院され患者様です。
定期的に日本には帰国するものの、日ごろは海外でお仕事をされているとのことで、インビザラインによる治療を希望されました。
トラブルが起こった時に対応ができない、来院を帰国のタイミングに合わせなければならないため治療が長期化するなど困難はありますが、ワイヤー矯正と比べると治療を進めやすいといったメリットがあるので、インビザラインにて矯正治療を行うこととしました。
- 費用(概算)
- 治療費の目安: 75万円費用は治療当時の料金となります
治療について
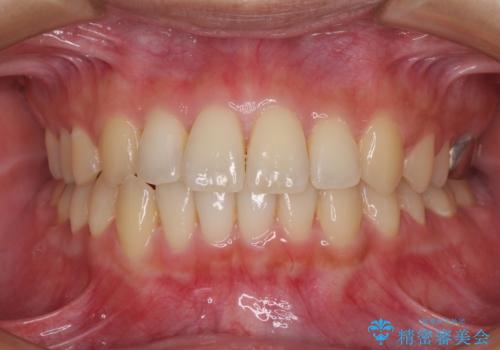
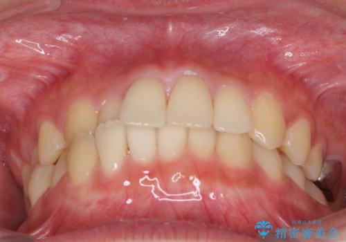
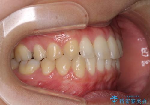
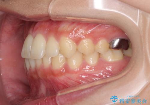
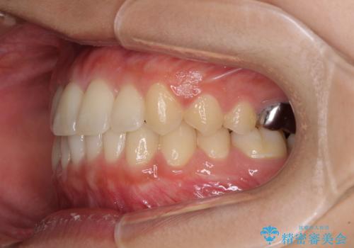
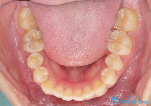
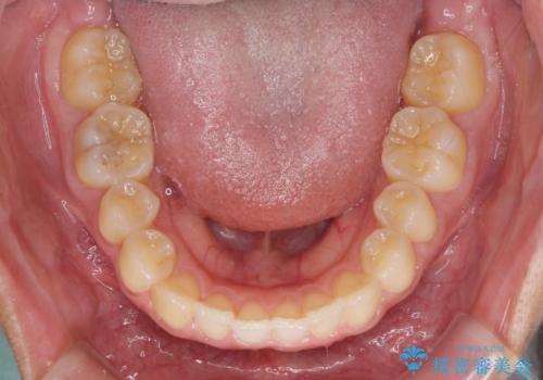
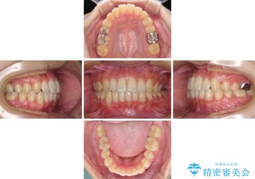
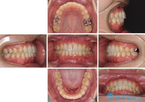
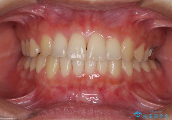
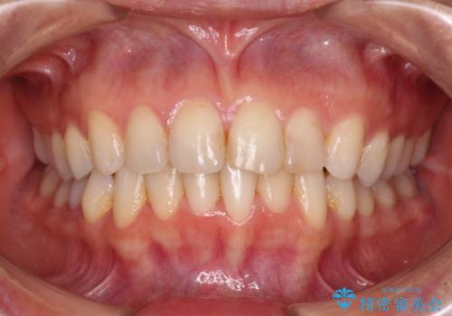
治療期間が世界的な感染症の流行時期と重なったため、海外と日本での往来が困難となり、治療継続が懸念されました。
それでも、しっかりとマウスピースを装着してくださったので、大きなトラブルもなく治療を終えることができました。
マウスピース矯正の注意事項(リスク・副作用など)
- 口腔内・歯並びの状態によっては対応できない場合があります
- マウスピース型矯正装置の長時間装着(1日20時間以上)が必須です
- 治療計画通りに進めるためには、患者様の意志が重要になります
- 矯正治療後の保定が不十分だと後戻り(元の位置に戻ろうとする動き)をします
- 薬機法対象外の矯正歯科装置のため医薬品副作用被害救済制度の対象外となる場合があります
- 自費診療(保険適用外)となります
当サイトの内容、テキスト、画像等の無断転載、複製、複写、盗用を固く禁じます。


























