症例詳細
Case detail
虫歯の治療 ゴールドクラウン
治療症例の内容
- 診療科目
- 治療カテゴリ
- 担当医
- 河口智英(ドクタープロフィール)
- 患者様
- 50代男性
- 治療期間
- 1ヶ月
- 治療回数
- 2-5回
- 治療計画
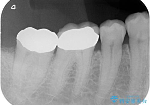
- 奥歯の詰め物が取れたことを主訴に来院されました。
噛む力が非常に強いため、破折しづらいゴールドクラウンにて修復治療を行なっています。
- 費用(概算)
- 9万円費用は治療当時の料金となります
治療について
咬合力の強い患者さんに対してはセラミッククラウンでは破折リスクが高いためゴールドクラウンが適しています。
PGA(ゴールド)クラウン、インレーの注意事項(リスク・副作用など)
- インレーおよびクラウンは脱離するリスクがあります
- 形成量はセラミックより少ないですが、歯の形成、修復後に歯に症状が出ることがあります
- 自費診療(保険適用外治療)となります
当サイトの内容、テキスト、画像等の無断転載、複製、複写、盗用を固く禁じます。





