症例詳細
Case detail
前歯が左右対称じゃない 保険の被せ物をきれいにしたい ホワイトニング併用
治療症例の内容
- 診療科目
- 治療カテゴリ
- 担当医
- 井上季実子(ドクタープロフィール)
- 患者様
- 40代女性
- 治療期間
- 1ヶ月
- 治療回数
- 2-5回
- 治療計画
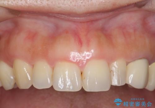
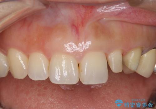
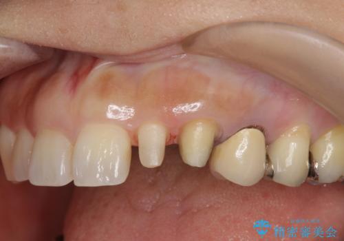
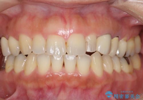
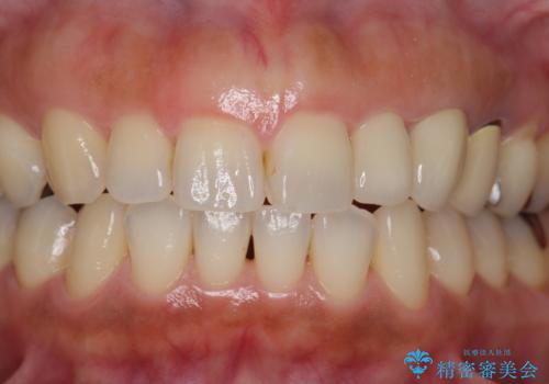
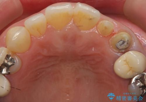
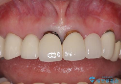
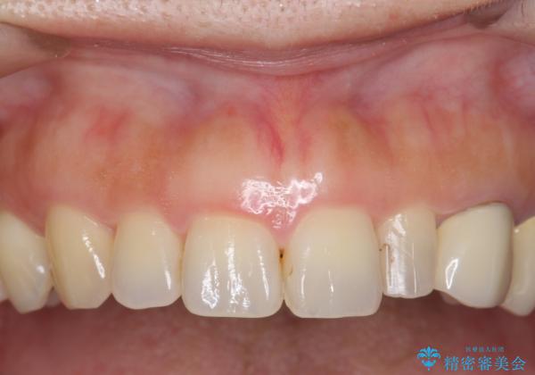
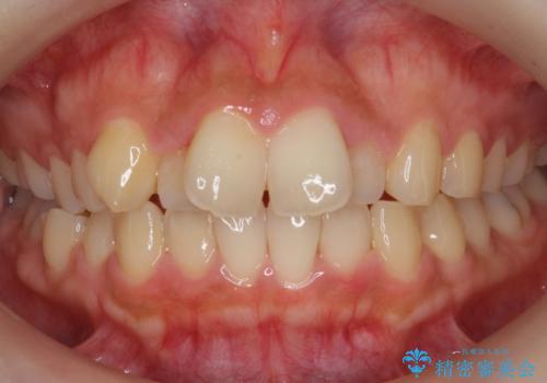
- 左上の前歯が小さく左右対称ではないのと、保険の前歯の被せ物のやりかえを希望して来院。
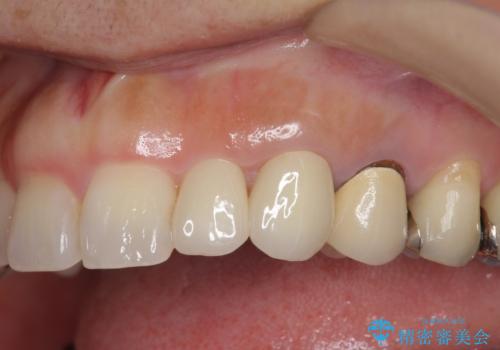
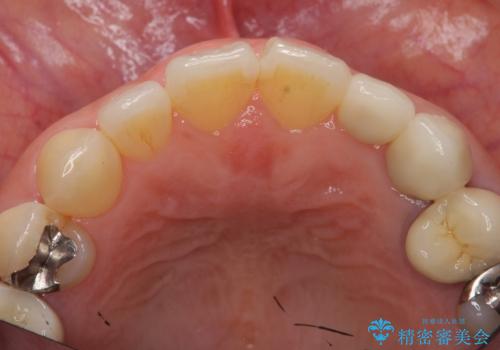
小さい前歯は、反対側と合わせた形にしました。
被せ物だけやりかえており、患者様のご希望もあり、根の治療や土台(コア)のやりかえは行なっていません。
- 費用(概算)
- 25万円 内訳 左上23:ジルコニアクラウン(スペシャル)各10万円、仮歯 各1万円、オフィスホワイトニング(エクセレント)3万円費用は治療当時の料金となります
治療について
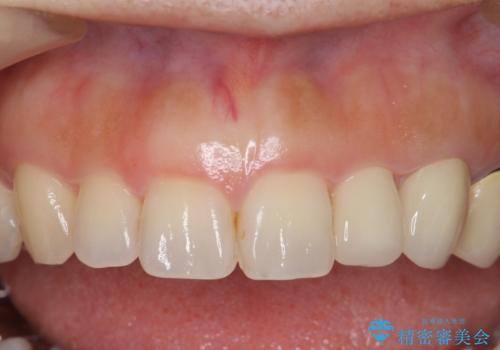
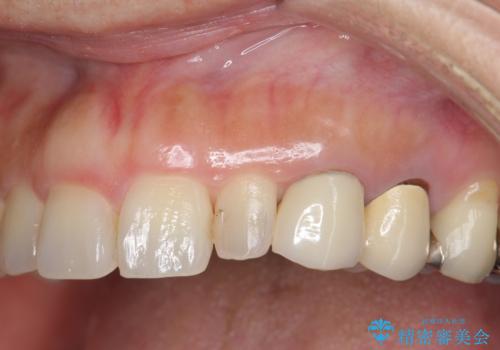
左右対称に仕上げることができ、治療には非常に満足していただきました。
セラミック治療の注意事項(リスク・副作用など)
- 天然歯を削ります
- 硬い素材は天然歯を傷つけてしまう場合があります
- かみ合わせや歯ぎしりが強すぎる方はセラミックが割れてしまう可能性があります
- 自費診療(保険適用外治療)となります
当サイトの内容、テキスト、画像等の無断転載、複製、複写、盗用を固く禁じます。














