症例詳細
Case detail
初めてのインプラント 手術は怖いので、寝ている間に終わりたい
治療症例の内容
- 担当医
- 井上季実子(ドクタープロフィール)
- 患者様
- 40代男性
- 治療期間
- 10ヶ月
- 治療回数
- 5-10回
- 治療計画
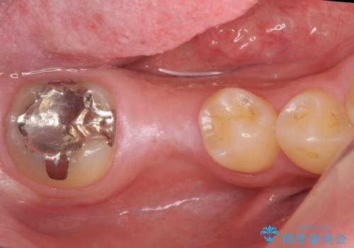
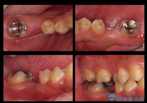
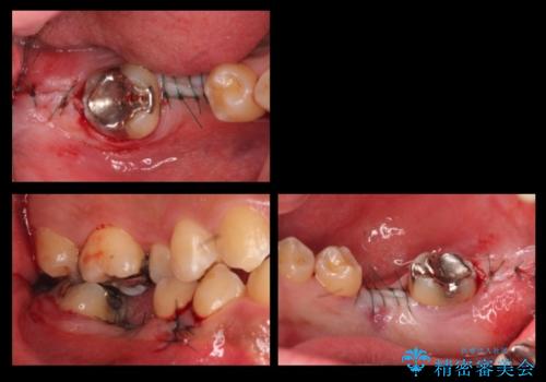
- 右下の奥歯にインプラントを入れたいと来院。
抜歯から時間が経っており、骨が十分あったためすぐにインプラントを入れることが可能でした。骨も補う必要がありませんでした。
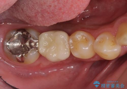
手術が怖いとのことで、外科手術時には静脈麻酔を行い、眠っている間に手術が終わるようにしました。
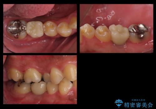
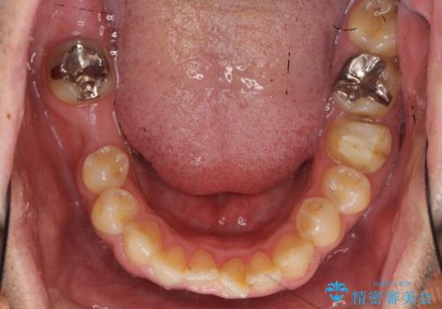
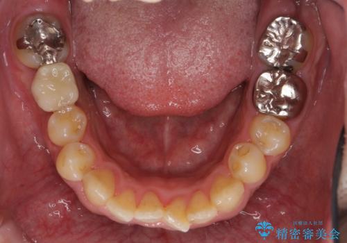
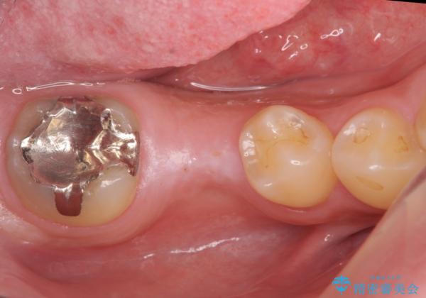
インプラントの術式は比較的単純で、難しくないですが、予後を見据えて角化歯肉を増やす手間をかけることが大変重要です。
長期的な予後を見据えた治療をしてもらえる病院を、慎重に選んでいただくことをお勧めします。
- 費用(概算)
- 52万円 内訳:ストローマンインプラント(1本)42万円(仮歯、ジルコニアクラウン、カスタムアバットメント含む) 静脈麻酔 5万円x2回費用は治療当時の料金となります
治療について
インプラント手術時に同時に親知らずの抜歯も行い、腫れや痛みなどを1度で終わらせるようにしました。
セラミック治療の注意事項(リスク・副作用など)
- 天然歯を削ります
- 硬い素材は天然歯を傷つけてしまう場合があります
- かみ合わせや歯ぎしりが強すぎる方はセラミックが割れてしまう可能性があります
- 自費診療(保険適用外治療)となります
インプラント治療の注意事項(リスク・副作用など)
- 外科手術のため、術後に痛みや腫れ、違和感を伴います
- メンテナンスを怠ったり喫煙により、お口の中に大きな悪影響を及ぼすインプラント周囲炎等にかかる可能性があります
- 糖尿病、肝硬変、心臓病等の場合、インプラント治療ができない可能性があります
- 高血圧、貧血・不整脈等の場合、インプラント治療後に治癒不全を招く可能性があります
- 自費診療(保険適用外治療)となります
外科処置の注意事項(リスク・副作用など)
- 外科手術のため、術後に出血、痛みや腫れ、違和感を伴います
- 口腔内の状態によっては適応できないことがあります
当サイトの内容、テキスト、画像等の無断転載、複製、複写、盗用を固く禁じます。















