症例詳細
Case detail
前歯の保険のブリッジ 欠けてしまったのをやり直したい
治療症例の内容
- 診療科目
- 治療カテゴリ
- 担当医
- 井上季実子(ドクタープロフィール)
- 患者様
- 40代男性
- 治療期間
- 2ヶ月
- 治療回数
- 2-5回
- 治療計画
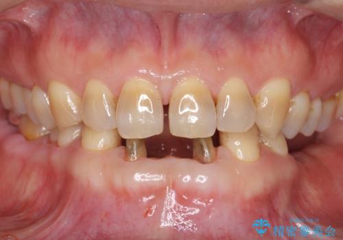
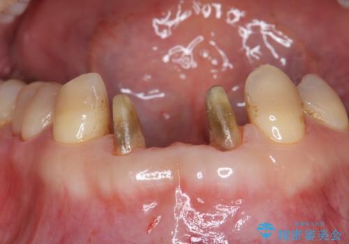
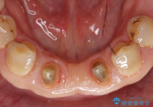
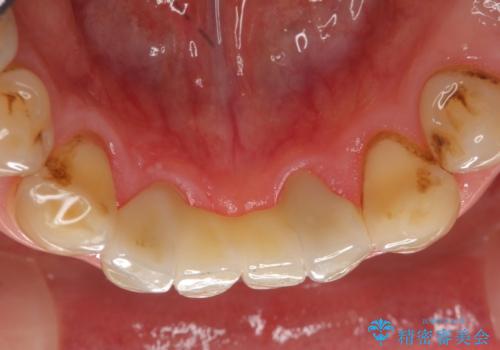
- 前歯の保険のブリッジが欠けてしまっているのを治したいとのことでした。
前装冠が剥がれていて、下の金属が見えてしまっていました。
保険のブリッジは入れてすぐ欠けてしまったのを長年使用していたとのことです。
かみ合わせもきつく、ジルコニアクラウンではセラミックでも欠けてしまいそうでした。
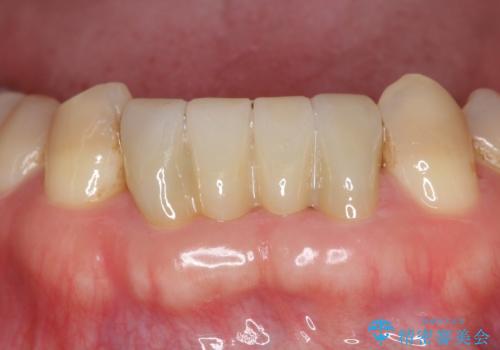
今回は、丈夫な欠けにくいフルジルコニア(ヴェレッツァ)クラウンでブリッジにすることにしました。
- 費用(概算)
- 32万円(下顎2−2:フルジルコニアクラウン(ヴェレッツァクラウン・スタンダード)7万円x4本、仮歯1万円x4本)費用は治療当時の料金となります
治療について
装着後、特に問題なく使用されています。
セラミッククラウンにも種類があり、丈夫さを追求したものもありますので、ぜひご相談ください。
ジルコニアクラウンの方が再現性は優れていますが、ヴェレッツァでも多少色合いなど相談に乗ります。
セラミック治療の注意事項(リスク・副作用など)
- 天然歯を削ります
- 硬い素材は天然歯を傷つけてしまう場合があります
- かみ合わせや歯ぎしりが強すぎる方はセラミックが割れてしまう可能性があります
- 自費診療(保険適用外治療)となります
当サイトの内容、テキスト、画像等の無断転載、複製、複写、盗用を固く禁じます。












