症例詳細
Case detail
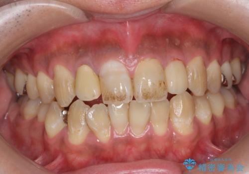
PMTC(歯科医院での専門的クリーニング)でステインを除去し白くきれいな歯に!
治療症例の内容
- 診療科目
- 治療カテゴリ
- 担当医
- 大元洋佑(ドクタープロフィール)
- 患者様
- 30代男性
- 治療期間
- 1日
- 治療回数
- 1回
- 治療計画
- コーヒーによる着色を気にされ、来院されました。
- 費用(概算)
- 5000円(税別)30分費用は治療当時の料金となります
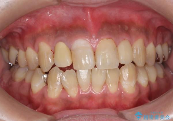
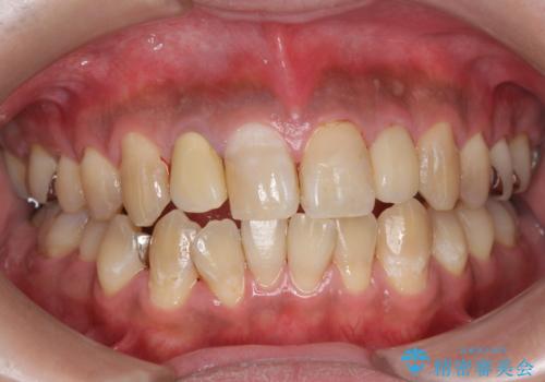
PMTC(歯科医院での専門的なクリーニング)
歯の着色だけでなく、汚れも除去し歯の表面がツルツルになったと喜んでいただけました。
担当歯科衛生士
横浜桜木町歯科 DH進藤
PMTCの注意事項(リスク・副作用など)
- 歯を白くする目的の施術ではありません
- 保険適用外となります
当サイトの内容、テキスト、画像等の無断転載、複製、複写、盗用を固く禁じます。


