症例詳細
Case detail
前歯が黒い セラミックで綺麗に 20代女性
治療症例の内容
- 担当医
- 患者様
- 20代女性
- 治療期間
- 2ヶ月
- 治療回数
- 2-5回
- 治療計画
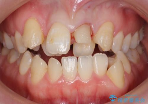
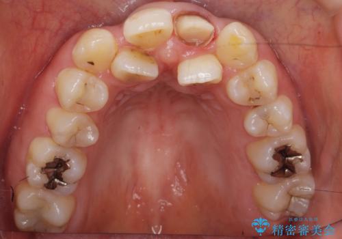
- 前歯が黒くなってきたことを主訴に来院された患者様です。
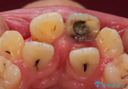
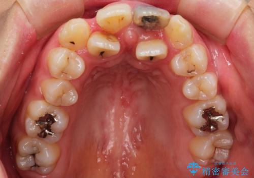
精査したところ、う蝕により歯の内側から黒くなっていました。
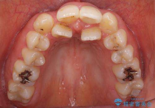
根管治療後、セラミッククラウンによる補綴を行いました。
※う蝕が大きく健全歯質が非常に薄いため、長期的予後に関しては不明であることをご理解頂いた上で治療を行いました。
※重度叢生のため矯正治療や機能していない歯の抜去を提案致しましたが、ご希望されませんでした。
- 費用(概算)
- ¥190,000 (根管治療、土台、仮歯、クラウン)費用は治療当時の料金となります
治療について
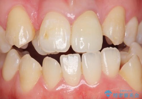
比較的短い治療期間と自然な仕上がりにご満足頂けました。
歯科医師として矯正治療に介入させて頂きたい気持ちがあり、歯並びの重要性について説明しましたが、矯正はご希望されませんでした。
~被せ物の種類~
ジルコニアクラウン スタンダード
セラミック治療の注意事項(リスク・副作用など)
- 天然歯を削ります
- 硬い素材は天然歯を傷つけてしまう場合があります
- かみ合わせや歯ぎしりが強すぎる方はセラミックが割れてしまう可能性があります
- 自費診療(保険適用外治療)となります
根管治療の注意事項(リスク・副作用など)
- 根管治療により類似の全ての症例の問題が解決するわけではなく、症例はあくまでも一例です
- 根管治療により痛みや腫れがひかない事や、術後に痛みや腫れが生じる事、治療によるファイル破折やパーフォレーションなどの偶発症、術後の歯根破折を生じる可能性もあります
- 自費診療(保険適用外)となります
当サイトの内容、テキスト、画像等の無断転載、複製、複写、盗用を固く禁じます。




















