症例詳細
Case detail
何度も欠けてしまう前歯を被せ物で治療
治療症例の内容
- 診療科目
- 治療カテゴリ
- 担当医
- 患者様
- 20代女性
- 治療期間
- 1ヶ月
- 治療回数
- 2-5回
- 治療計画
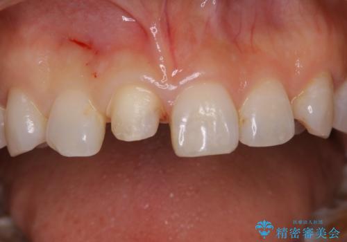
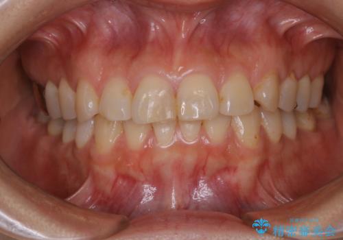
- プラスチックで治療している前歯が何度も欠けてしまうとお悩みで来院された方です。
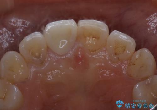
歯全体を覆うクラウンにて治療を行いました。
- 費用(概算)
- 14万円(オールセラミッククラウンスペシャル13万円・仮歯1万円)費用は治療当時の料金となります
治療について
前歯1本のみの被せ物治療を行う場合、他の歯を参考に歯の色や形を忠実に再現することが重要です。オールセラミッククラウン(スペシャル・エクセレント)は、事前に歯科技工士との打ち合わせを行うことで、歯の色や形、さらには患者様のご希望も聴取したうえでクラウンを作製することが可能です。
セラミック治療の注意事項(リスク・副作用など)
- 天然歯を削ります
- 硬い素材は天然歯を傷つけてしまう場合があります
- かみ合わせや歯ぎしりが強すぎる方はセラミックが割れてしまう可能性があります
- 自費診療(保険適用外治療)となります
当サイトの内容、テキスト、画像等の無断転載、複製、複写、盗用を固く禁じます。










