症例詳細
Case detail
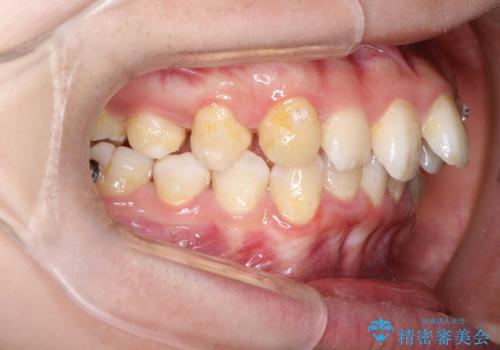
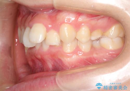
重度のガタガタのインビザラインによる非抜歯矯正
治療症例の内容
- 診療科目
- 担当医
- 患者様
- 20代女性
- 矯正装置
- インビザライン
- 治療期間
- 2年2ヶ月
- 治療回数
- 10-30回
- 治療計画
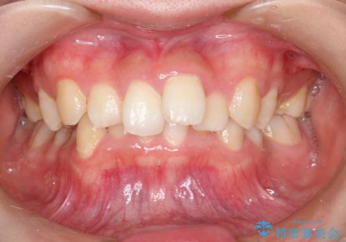
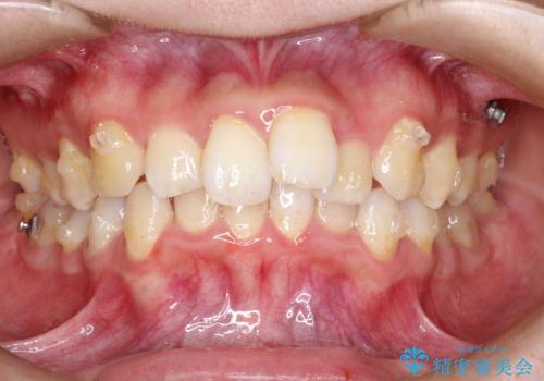
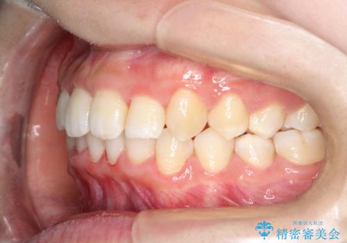
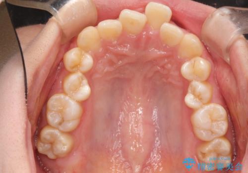
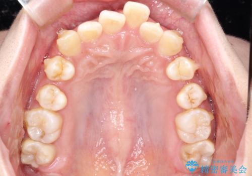
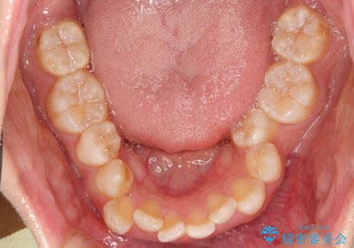
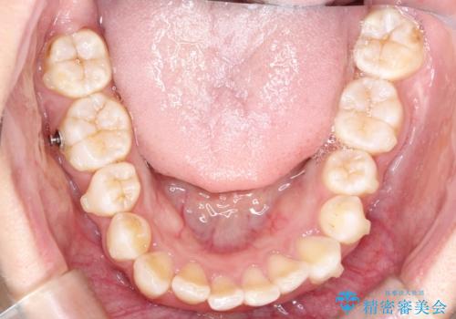
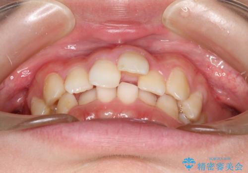
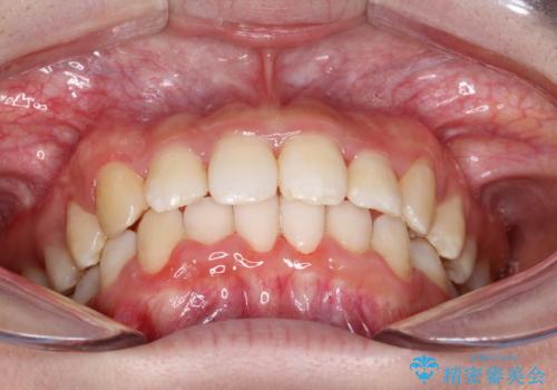
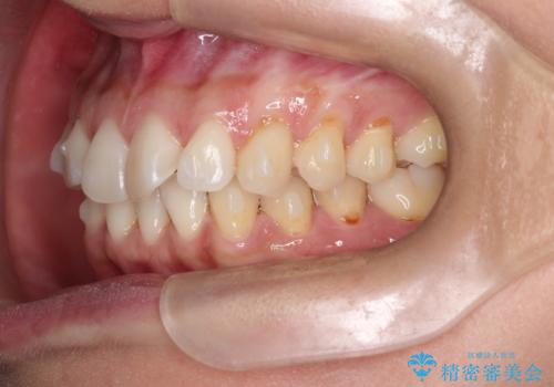
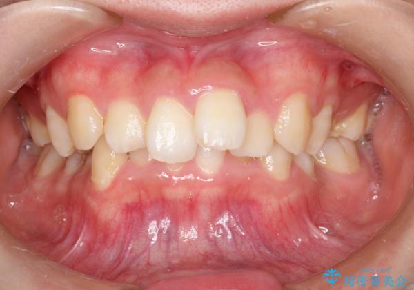
- 全体的なガタガタを気にされて来院されました。
抜歯矯正も考えられる状態でしたが、ご本人的になるべく歯を抜かない矯正を希望されました。
奥歯を後方に移動させるのと、歯と歯の間にわずかに隙間を作ることでスペースを確保して、抜歯をせず歯を並べる計画としました。
- 費用(概算)
- 約85万円費用は治療当時の料金となります
治療について
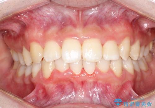
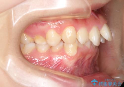
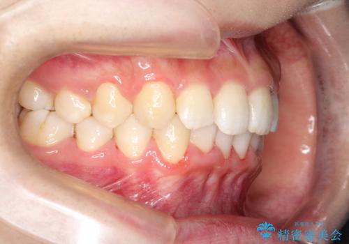
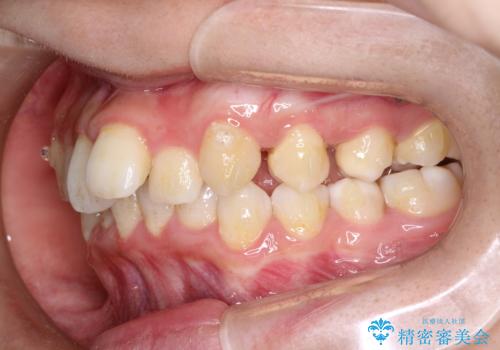
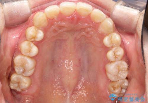
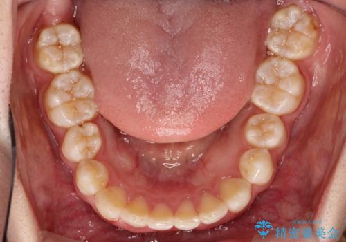
ガタガタの度合いが大きかったので少し時間がかかりましたが、非常に協力的な患者様でしたので、抜歯をせず計画通りに治療を終えることができました。
マウスピース矯正の注意事項(リスク・副作用など)
- 口腔内・歯並びの状態によっては対応できない場合があります
- マウスピース型矯正装置の長時間装着(1日20時間以上)が必須です
- 治療計画通りに進めるためには、患者様の意志が重要になります
- 矯正治療後の保定が不十分だと後戻り(元の位置に戻ろうとする動き)をします
- 薬機法対象外の矯正歯科装置のため医薬品副作用被害救済制度の対象外となる場合があります
- 自費診療(保険適用外)となります
当サイトの内容、テキスト、画像等の無断転載、複製、複写、盗用を固く禁じます。



















