症例詳細
Case detail
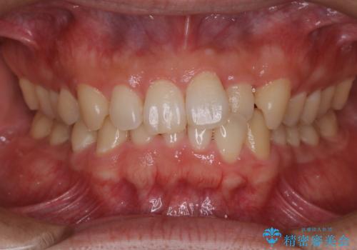
叢生(でこぼこ) 非抜歯、ディスキング(30代女性)
治療症例の内容
- 診療科目
- 担当医
- 患者様
- 30代女性
- 矯正装置
- メタル装置
- 治療期間
- 10ヶ月
- 治療回数
- 10-30回
- 治療計画
- 非抜歯とディスキング(歯の削合)
- 費用(概算)
- 400,000円費用は治療当時の料金となります
治療について
歯を抜かないで、治療しました。
前歯の大きさを0.25ミリずつ、やすりのようなものを使用し、歯のサイズダウンして上下の歯を並べました。
ワイヤー矯正の注意事項(リスク・副作用など)
- 治療中は違和感や痛みが起こることがあります
- 症状により、抜歯が必要な場合があります
- 治療中は歯磨きがしにくくなるため、虫歯や歯周病になりやすくなります
- 矯正治療後の保定が不十分だと後戻り(元の位置に戻ろうとする動き)をします
- 自費診療(保険適用外)となります
当サイトの内容、テキスト、画像等の無断転載、複製、複写、盗用を固く禁じます。








 
                       
                                                          









 
                   
                   
                  