症例詳細
Case detail
ブリッジの土台が割れて痛い インプラントによる補綴治療
治療症例の内容
- 担当医
- 藤巻太一朗(ドクタープロフィール)
- 患者様
- 50代女性
- 治療期間
- 1年2ヶ月
- 治療回数
- 5-10回
- 治療計画
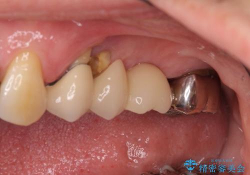
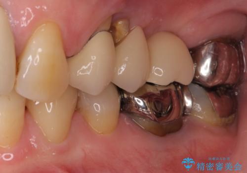
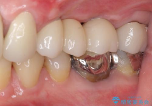
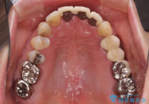
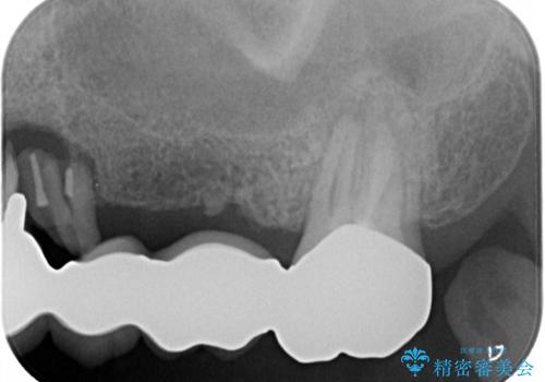
- 上の奥歯に装着されているブリッジが痛むとのことで来院された患者様です。
診察した結果、ブリッジの土台となっている歯が割れていたため、抜歯が必要となりました。
欠損している歯数が多いため、ブリッジによる補綴治療は困難と判断し、インプラントによる補綴治療を行うこととしました。
- 費用(概算)
- 治療費の目安: 105万円費用は治療当時の料金となります
治療について
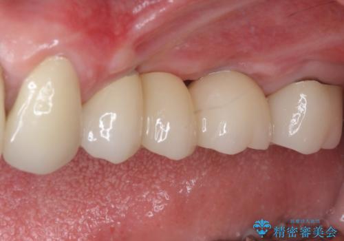
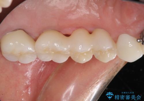
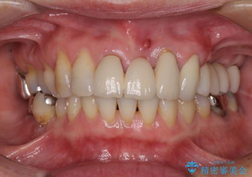
インプラントを埋入するために必要な骨の高さがなかったため、上顎洞底の粘膜を挙上しました。
手術後は処置部に痣や腫脹が出現したり、痛みが出たりしましたが、補綴治療後は咬み合わせが安定し、大変満足していただきました。
インプラント治療の注意事項(リスク・副作用など)
- 外科手術のため、術後に痛みや腫れ、違和感を伴います
- メンテナンスを怠ったり喫煙により、お口の中に大きな悪影響を及ぼすインプラント周囲炎等にかかる可能性があります
- 糖尿病、肝硬変、心臓病等の場合、インプラント治療ができない可能性があります
- 高血圧、貧血・不整脈等の場合、インプラント治療後に治癒不全を招く可能性があります
- 自費診療(保険適用外治療)となります
セラミック治療の注意事項(リスク・副作用など)
- 天然歯を削ります
- 硬い素材は天然歯を傷つけてしまう場合があります
- かみ合わせや歯ぎしりが強すぎる方はセラミックが割れてしまう可能性があります
- 自費診療(保険適用外治療)となります
当サイトの内容、テキスト、画像等の無断転載、複製、複写、盗用を固く禁じます。




















