症例詳細
Case detail
上下の八重歯を治したい インビザラインと補助装置を用いた抜歯治療
治療症例の内容
- 診療科目
- 治療カテゴリ
- 担当医
- 藤巻太一朗(ドクタープロフィール)
- 患者様
- 20代女性
- 矯正装置
- インビザライン
- 治療期間
- 3年2ヶ月
- 治療回数
- 10-30回
- 治療計画
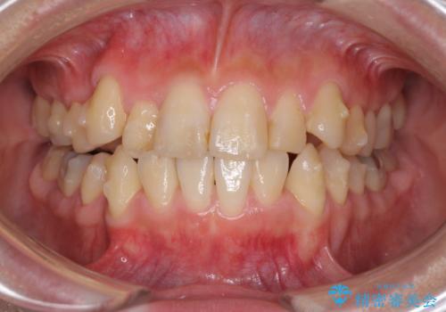
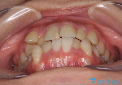
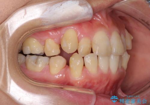
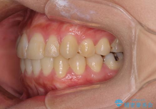
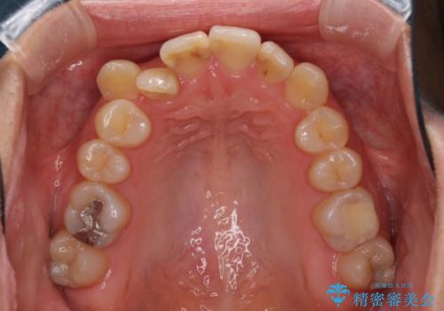
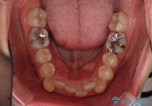
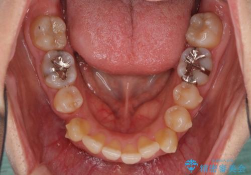
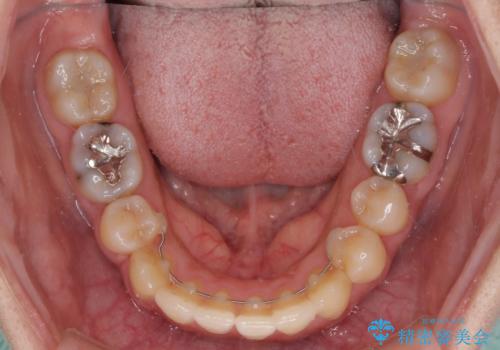
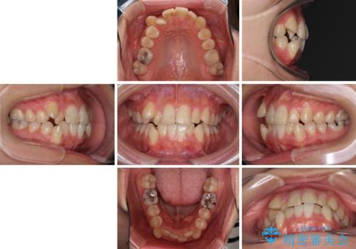
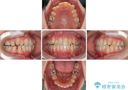
- 上下の八重歯を気にして来院された患者様です。
八重歯の後ろの歯を1歯抜歯し、補助装置(リンガルアーチ)を用いて八重歯の位置を改善し、その後インビザラインにより矯正治療を行うこととしました。
- 費用(概算)
- 治療費の目安: 85万円費用は治療当時の料金となります
治療について
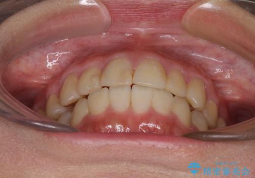
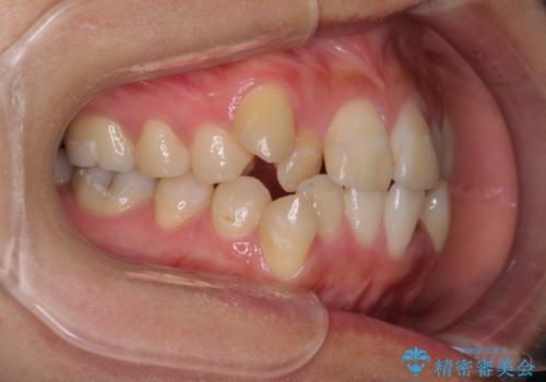
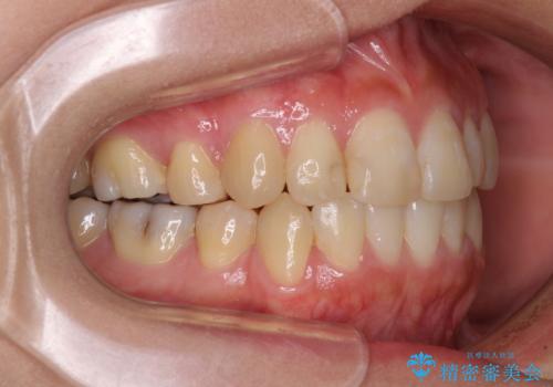
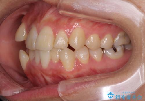
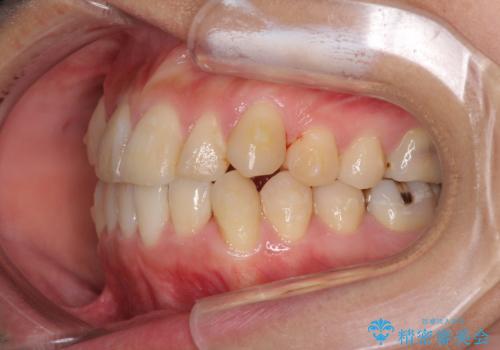
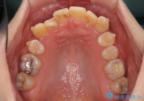
右側のみ上下小臼歯を抜歯したため、上下の正中が右にずれてしまう可能性があります。
また、元々右側は上下が咬み合っていないため、矯正をしても咬み合わないことも考えられました。
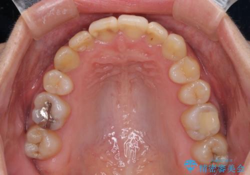
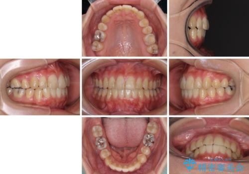
治療期間はかかりましたが、正中も合い、綺麗な仕上がりとなりました。
マウスピース矯正の注意事項(リスク・副作用など)
- 口腔内・歯並びの状態によっては対応できない場合があります
- マウスピース型矯正装置の長時間装着(1日20時間以上)が必須です
- 治療計画通りに進めるためには、患者様の意志が重要になります
- 矯正治療後の保定が不十分だと後戻り(元の位置に戻ろうとする動き)をします
- 薬機法対象外の矯正歯科装置のため医薬品副作用被害救済制度の対象外となる場合があります
- 自費診療(保険適用外)となります
当サイトの内容、テキスト、画像等の無断転載、複製、複写、盗用を固く禁じます。




























