症例詳細
Case detail
冷たいものがしみる セラミックインレーによるむし歯治療
治療症例の内容
- 診療科目
- 治療カテゴリ
- 担当医
- 藤巻太一朗(ドクタープロフィール)
- 患者様
- 30代女性
- 治療期間
- 1ヶ月
- 治療回数
- 2-5回
- 治療計画
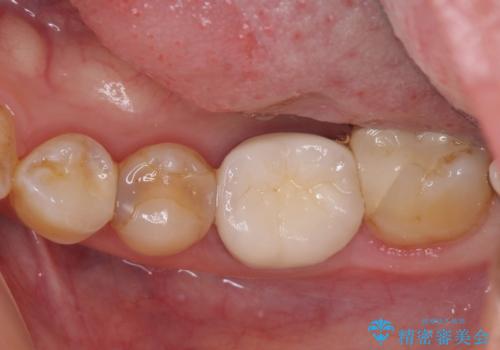
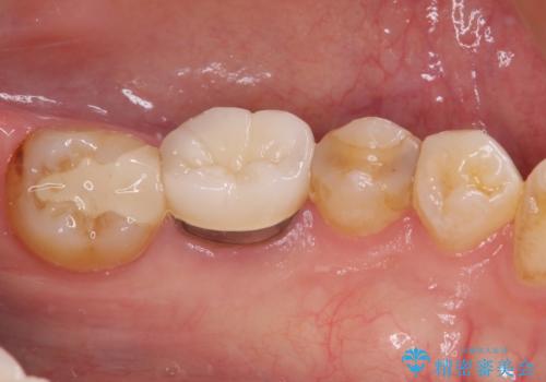
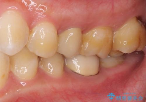
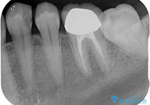
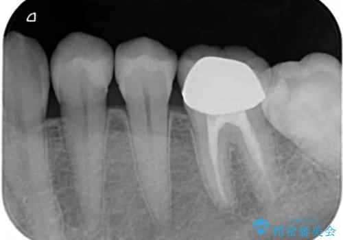
- 冷たいものがしみるとのことで来院された患者様です。
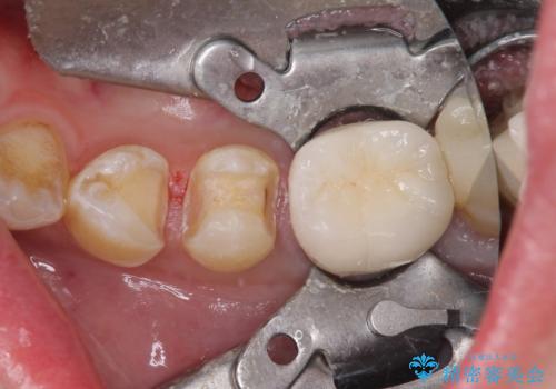
診査を行った結果、第一小臼歯にある樹脂の詰め物(コンポジットレジン)と歯の境目が痛みの原因であることが分かりました。
また、隣接する第二小臼歯も虫歯になっていることも分かったため、2歯を同時に治療するにしました。
下顎の目立つ位置であるため、セラミックインレーによる修復治療を行うこととしました。
- 費用(概算)
- 治療費の目安: 14万円費用は治療当時の料金となります
治療について
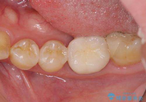
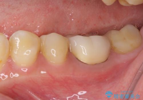
精密に型取りを行ったセラミックインレーを装着したことで、治療後にはしみたり痛んだりという症状は治まりました。
セラミック治療の注意事項(リスク・副作用など)
- 天然歯を削ります
- 硬い素材は天然歯を傷つけてしまう場合があります
- かみ合わせや歯ぎしりが強すぎる方はセラミックが割れてしまう可能性があります
- 自費診療(保険適用外治療)となります
当サイトの内容、テキスト、画像等の無断転載、複製、複写、盗用を固く禁じます。












